Mouse Monoclonal Antibody to MEF2C
货号:
30439
别名:
DEL5q14.3; C5DELq14.3
应用:
WB,IHC,FCM
反应种属:
Human,Mouse,Rat,Rabbit,Monkey
抗体类型:
Primary antibody
Swissprot:
Q06413
规格:
目录价
在线咨询
Description |
|---|
This locus encodes a member of the MADS box transcription enhancer factor 2 (MEF2) family of proteins, which play a role in myogenesis. The encoded protein, MEF2 polypeptide C, has both trans-activating and DNA binding activities. This protein may play a role in maintaining the differentiated state of muscle cells. Mutations and deletions at this locus have been associated with severe mental retardation, stereotypic movements, epilepsy, and cerebral malformation. Alternatively spliced transcript variants have been described. |
References |
|---|
| 1.PLoS One. 2011;6(11):e27165. 2.J Biol Chem. 2011 Aug 26;286(34):30071-86. |
Specification |
|
|---|---|
| Aliases | DEL5q14.3; C5DELq14.3 |
| Entrez GeneID | 4208 |
| Swissprot | Q06413 |
| clone | 6H2G2 |
| WB Predicted band size | 51.2kDa |
| Host/Isotype | Mouse IgG1 |
| Antibody Type | Primary antibody |
| Storage | Store at 4°C short term. Aliquot and store at -20°C long term. Avoid freeze/thaw cycles. |
| Species Reactivity | Human,Mouse,Rat,Rabbit,Monkey |
| Immunogen | Purified recombinant fragment of human MEF2C (AA: 1-125) expressed in E. Coli. |
| Formulation | Purified antibody in PBS with 0.05% sodium azide |
Application |
|
|---|---|
| WB | 1/500 - 1/2000 |
| IHC | 1/100 - 1/500 |
| FCM | 1/200 - 1/400 |
| ELISA | 1/10000 |
Product Image
-
Black line: Control Antigen (100 ng); Purple line: Antigen(10ng); Blue line: Antigen (50 ng); Red line: Antigen (100 ng);

-
Western blot analysis using MEF2C mouse mAb against NIH3T3 (1) and 3T3-L1 (2) cell lysate.

-
Flow cytometric analysis of HeLa cells using MEF2C mouse mAb (green) and negative control (purple).

-
Flow cytometric analysis of Hela cells using MEF2C mouse mAb (green) and negative control (red).

-
Flow cytometric analysis of C6 cells using MEF2C mouse mAb (green) and negative control (red).

-
Flow cytometric analysis of NIH/3T3 cells using MEF2C mouse mAb (green) and negative control (red).

-
Flow cytometric analysis of COS7 cells using MEF2C mouse mAb (green) and negative control (red).

-
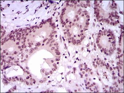
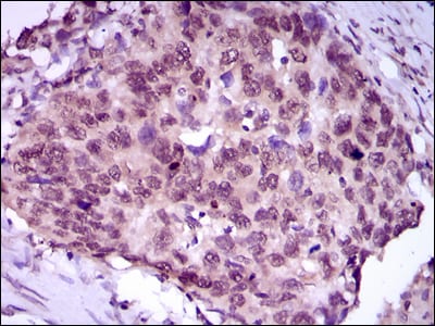
Immunohistochemical analysis of paraffin-embedded human colon cancer tissues using MEF2C mouse mAb with DAB staining.

-
Immunohistochemical analysis of paraffin-embedded human esophageal cancer tissues using MEF2C mouse mAb with DAB staining.

-
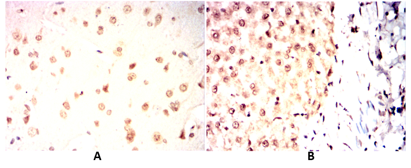
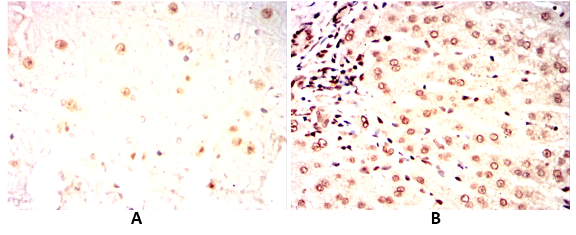
Immunohistochemical analysis of paraffin-embedded Mouse brain(A) Mouse liver(B) using MEF2C mouse mAb with DAB staining.

-
Immunohistochemical analysis of paraffin-embedded Rat brain(A) Rat liver(B) using MEF2C mouse mAb with DAB staining.

-
Immunohistochemical analysis of paraffin-embedded Rabbit brain(A) Rabbit liver(B) using MEF2C mouse mAb with DAB staining.













鄂公网安备42018502007531号

