-
分类: 科研抗体货号: 30765别名: TAK1; MEKK7; TGF1a应用:反应种属: Human
-
分类: 科研抗体货号: 30750别名: DMX; hdm2; ACTFS应用: FCM反应种属: Human
-
分类: 科研抗体货号: 30735别名: T10; ADPRC 1应用: WB,IHC反应种属: Human
-
分类: 科研抗体货号: 30764别名: RK5; KV4.2应用: FCM反应种属: Human
-
分类: 科研抗体货号: 30749别名: DMX; hdm2; ACTFS应用: FCM反应种属: Human
-
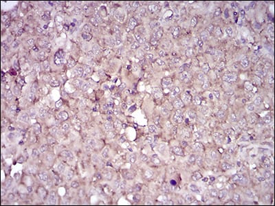
分类: 科研抗体货号: 30734别名: HD10应用: IHC反应种属: Human
-
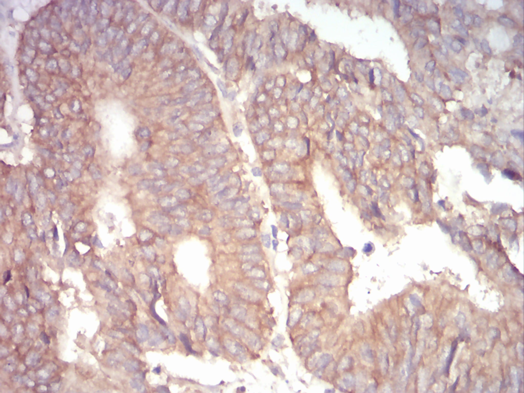
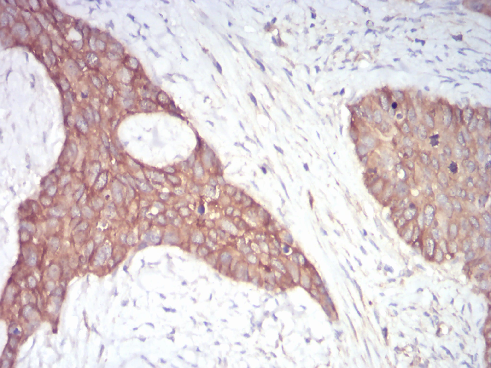
分类: 科研抗体货号: 30763别名: ADDA应用: IHC反应种属: Human
-
分类: 科研抗体货号: 30748别名:应用: FCM反应种属: Human
-
分类: 科研抗体货号: 30733别名: Epsin 1应用: FCM反应种属: Human
-
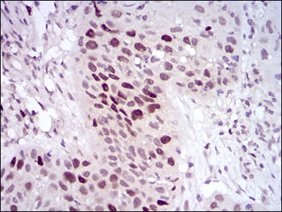
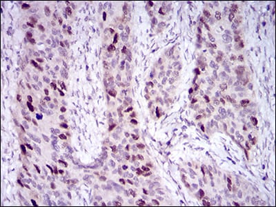
分类: 科研抗体货号: 30762别名: Tubulin beta-1 chain应用: WB,IHC,IF,FCM反应种属: Human,Mouse,Monkey,Rat
鄂公网安备42018502007531号

