Mouse Monoclonal Antibody to TUBB1
货号:
30762
别名:
Tubulin beta-1 chain
应用:
WB,IHC,IF,FCM
反应种属:
Human,Mouse,Monkey,Rat
抗体类型:
Loading Control Antibody
Swissprot:
Q9H4B7
规格:
目录价
在线咨询
Description |
|---|
This gene encodes a member of the beta tubulin protein family. Beta tubulins are one of two core protein families (alpha and beta tubulins) that heterodimerize and assemble to form microtubules. This protein is specifically expressed in platelets and megakaryocytes and may be involved in proplatelet production and platelet release. A mutations in this gene is associated with autosomal dominant macrothrombocytopenia. Two pseudogenes of this gene are found on chromosome Y. |
References |
|---|
| Cancer Res. 2012 Sep 15;72(18):4744-52. Cytoskeleton (Hoboken). 2011 Mar;68(3):175-87. |
Specification |
|
|---|---|
| Aliases | Tubulin beta-1 chain |
| Entrez GeneID | 81027 |
| Swissprot | Q9H4B7 |
| clone | 2A1A9 |
| WB Predicted band size | 50.3kDa |
| Host/Isotype | Mouse IgG1 |
| Antibody Type | Loading Control Antibody |
| Storage | Store at 4°C short term. Aliquot and store at -20°C long term. Avoid freeze/thaw cycles. |
| Species Reactivity | Human,Mouse,Monkey,Rat |
| Immunogen | Purified recombinant fragment of human TUBB1 (AA: 33-166) expressed in E. Coli. |
| Formulation | Purified antibody in PBS with 0.05% sodium azide |
Application |
|
|---|---|
| WB | 1/500 - 1/2000 |
| IHC | 1/200 - 1/1000 |
| IF | 1/200 - 1/1000 |
| FCM | 1/200 - 1/400 |
| ELISA | 1/10000 |
Product Image
-
Black line: Control Antigen (100 ng); Purple line: Antigen(10ng); Blue line: Antigen (50 ng); Red line: Antigen (100 ng);

-
Western blot analysis using TUBB1 mouse mAb against K562 (1), HepG2 (2), A431 (3), Jurkat (4), Hela (5), NIH/3T3 (6), Cos7 (7) and PC12 (8) cell lysate.

-
Immunofluorescence analysis of Hela cells using TUBB1 mouse mAb (green). Blue: DRAQ5 fluorescent DNA dye. Red: Actin filaments have been labeled with Alexa Fluor- 555 phalloidin. Secondary antibody from Fisher (Cat#: 35503)

-
Flow cytometric analysis of A431 cells using TUBB1 mouse mAb (green) and negative control (red).

-
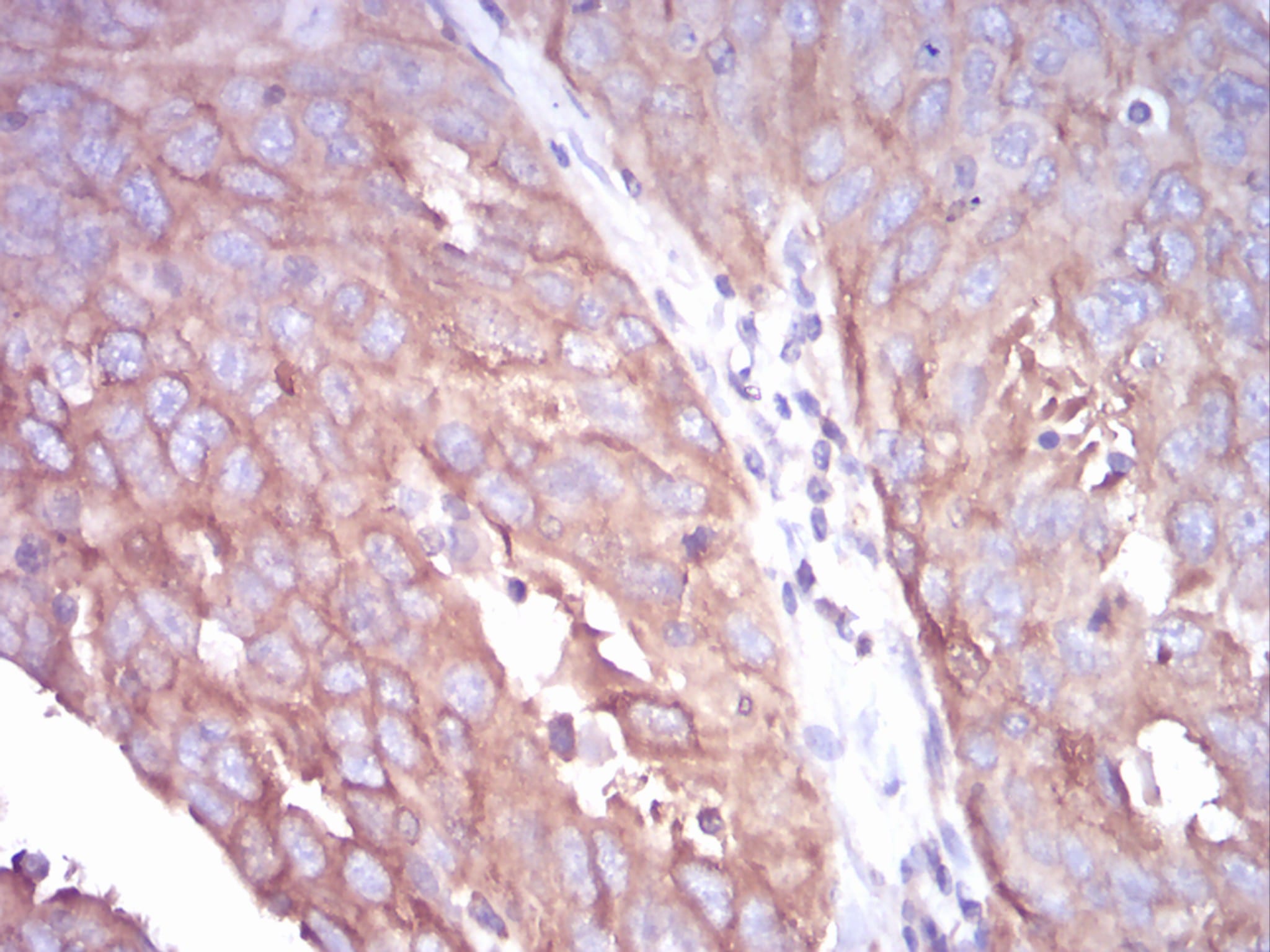
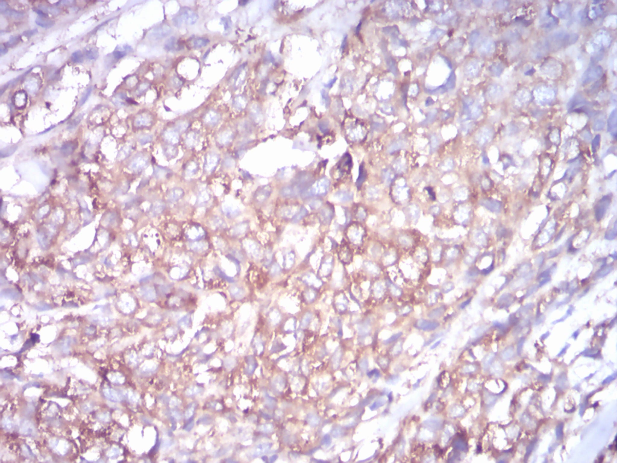
Immunohistochemical analysis of paraffin-embedded human ovarian cancer tissues using TUBB1 mouse mAb with DAB staining.

-
Immunohistochemical analysis of paraffin-embedded human ovarian cancer tissues using TUBB1 mouse mAb with DAB staining.







鄂公网安备42018502007531号

