-
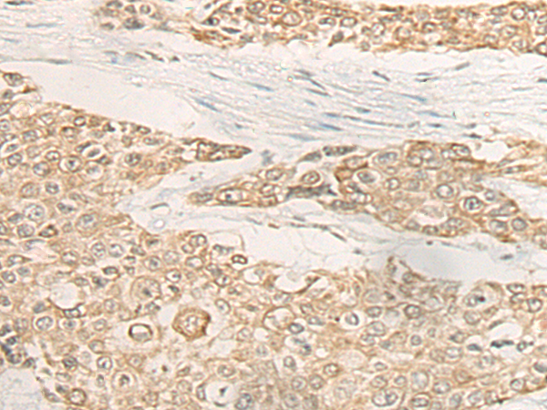
分类: 科研抗体货号: P09580别名: RHFCA; CYP26A2; P450RAI2; P450RAI-2应用: IHC反应种属: Human, Mouse, Rat
-
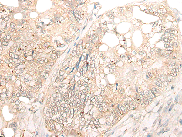
分类: 科研抗体货号: P09564别名:应用: IHC反应种属: Human, Mouse
-
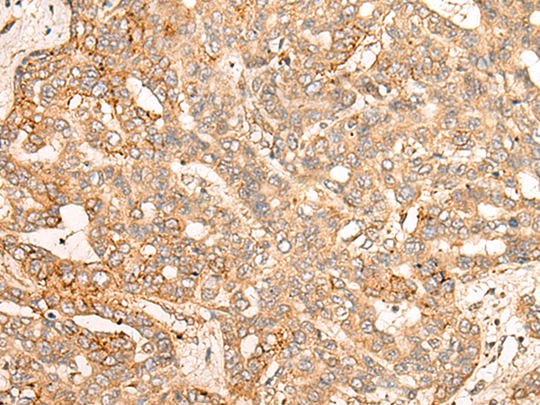
分类: 科研抗体货号: P09594别名: ARS; DCS1; HSL1; HINT5; HINT-5; HSPC015应用: IHC反应种属: Human, Mouse, Rat
-
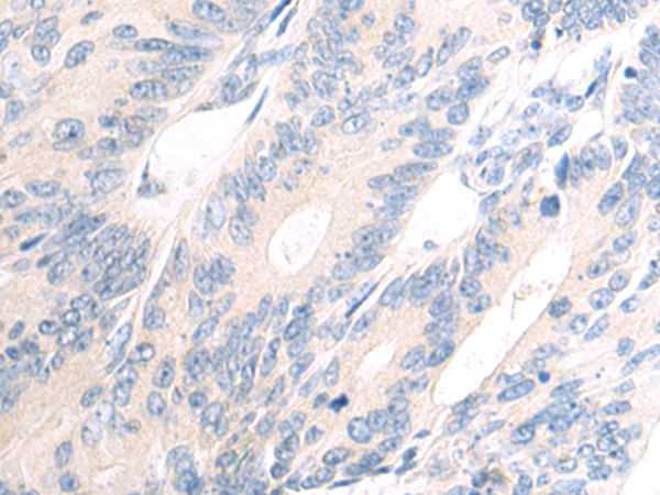
分类: 科研抗体货号: P09579别名:应用: IHC反应种属: Human
-
分类: 科研抗体货号: P09563别名:应用: IHC反应种属: Human, Mouse, Rat
-
分类: 科研抗体货号: P09593别名: NUDT20应用: WB,IHC反应种属: Human, Mouse
-
分类: 科研抗体货号: P09578别名: CYPIVX1应用: IHC反应种属: Human
-
分类: 科研抗体货号: P09562别名:应用: IHC反应种属: Human, Mouse
-
分类: 科研抗体货号: P09592别名: DCP1应用: WB,IHC反应种属: Human
-
分类: 科研抗体货号: P09577别名: CYPIVF12; F22329_1应用: IHC反应种属: Human
鄂公网安备42018502007531号

