-
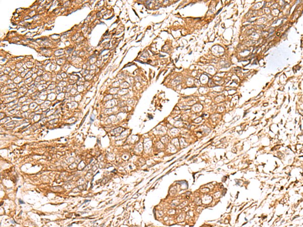
分类: 科研抗体货号: P06552别名: bA356B19.1应用: IHC反应种属: Human, Mouse
-
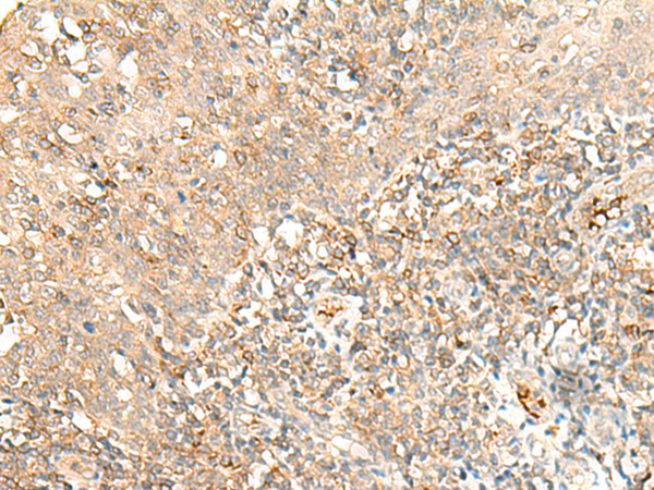
分类: 科研抗体货号: P06508别名: FBL4; FBL5; MTDPS13应用: WB,IHC反应种属: Human, Mouse
-
分类: 科研抗体货号: P06548别名: GALNR; GALNR1应用: WB反应种属: Human, Mouse, Rat
-
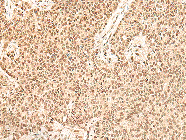
分类: 科研抗体货号: P06504别名: FAE; FACE应用: IHC反应种属: Human
-
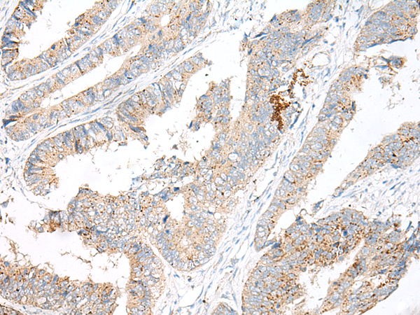
分类: 科研抗体货号: P06547别名:应用: WB,IHC反应种属: Human, Mouse
-
分类: 科研抗体货号: P06501别名:应用: WB,IHC反应种属: Human, Mouse, Rat
-
分类: 科研抗体货号: P06545别名: ADC; CSADC; HuADC; HuCSADC应用: WB,IHC反应种属: Human, Mouse
-
分类: 科研抗体货号: P06494别名: TED; TMEM28; CXorf63; bB57D9.1应用: WB,IHC反应种属: Human
-
分类: 科研抗体货号: P06540别名: FUCTX应用: WB,IHC反应种属: Human, Mouse
-
分类: 科研抗体货号: P06488别名: MOB1D; C9orf35; MOBKL2B应用: IHC反应种属: Human, Mouse
鄂公网安备42018502007531号

