-
分类: 科研抗体货号: P05209别名: FEO; OFE; ODFR; OSTS; PDB2; RANK; CD265; OPTB7; TRANCER; LOH18CR1应用: WB反应种属: Human, Mouse
-
分类: 科研抗体货号: P05207别名: RECA; BRCC5; MRMV2; HRAD51; RAD51A; HsRad51; HsT16930应用: WB,IHC反应种属: Human, Mouse
-
分类: 科研抗体货号: P05251别名: SCD1; FADS5; SCDOS; hSCD1; MSTP008应用: WB,IHC反应种属: Human
-
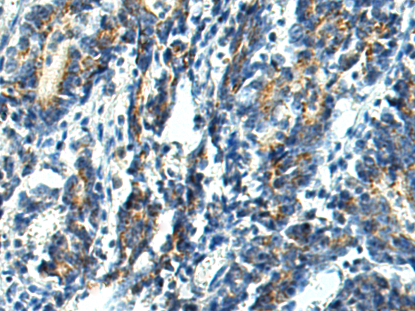
分类: 科研抗体货号: P05205别名:应用: IHC反应种属: Human, Mouse, Rat
-
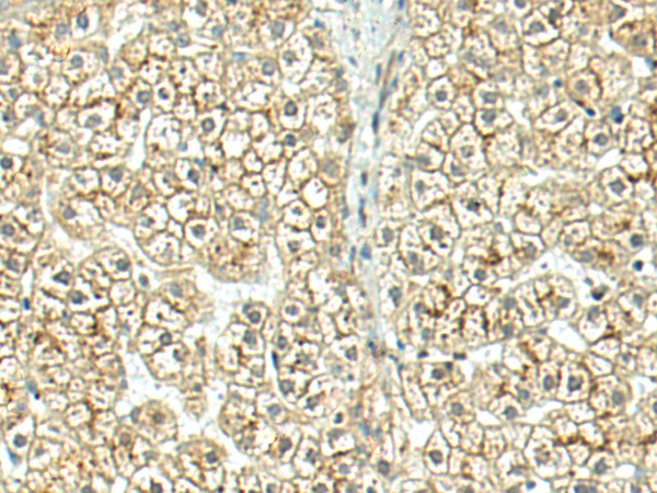
分类: 科研抗体货号: P05293别名: MCT11; MCT 11应用: WB,IHC反应种属: Human, Mouse, Rat
-
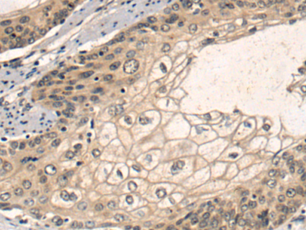
分类: 科研抗体货号: P05249别名: SH3D6A; dJ323M4.1应用: WB,IHC反应种属: Human, Mouse
-
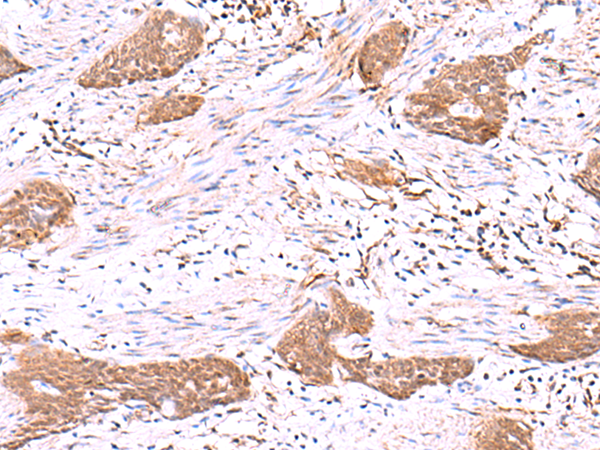
分类: 科研抗体货号: P05204别名: Gx; EN-7; HSPC022; p21-Rac2应用: WB,IHC反应种属: Human, Mouse
-
分类: 科研抗体货号: P05292别名: TAT1; MCT10; PRO0813应用: WB,IHC反应种属: Human, Mouse, Rat
-
分类: 科研抗体货号: P05247别名: UEF1; ATXPC; DRIF2; C7orf6应用: WB,IHC反应种属: Human
-
分类: 科研抗体货号: P05202别名: NP94; LSFR1; ZNF356应用: WB反应种属: Human
鄂公网安备42018502007531号

