-
分类: 科研抗体货号: P05105别名: NMYC; ODED; MODED; N-myc; bHLHe37应用: WB,IHC反应种属: Human, Mouse, Rat
-
分类: 科研抗体货号: P05113别名: ARP1; CHTD4; NF-E3; NR2F1; SVP40; COUPTFB; TFCOUP2; COUPTFII应用: WB,IHC反应种属: Human, Mouse, Rat
-
分类: 科研抗体货号: P05154别名: PERI; PLIN; FPLD4应用: WB反应种属: Human, Mouse, Rat
-
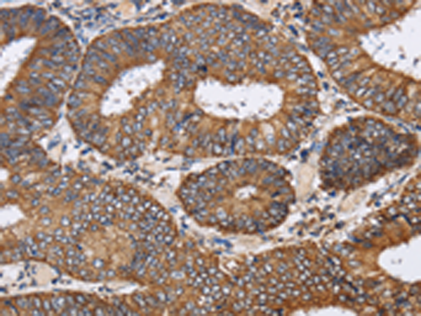
分类: 科研抗体货号: P05099别名: P500; SISe; TCA3; I-309; SCYA1应用: IHC反应种属: Human
-
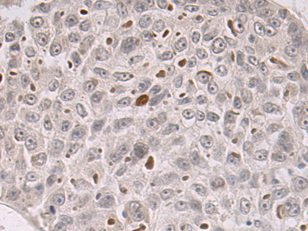
分类: 科研抗体货号: P05150别名: SCDGF; FALLOTEIN应用: IHC反应种属: Human, Mouse, Rat
-
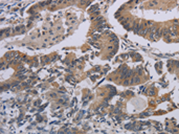
分类: 科研抗体货号: P05190别名: p30; PRR6; CENP-V; 3110013H01Rik应用: WB,IHC反应种属: Human, Mouse
-
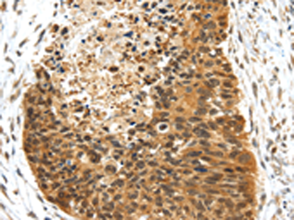
分类: 科研抗体货号: P05149别名: CN5A; PDE5; CGB-PDE应用: WB,IHC反应种属: Human, Mouse
-
分类: 科研抗体货号: P05186别名: KIAA0090应用: WB反应种属: Human, Mouse
-
分类: 科研抗体货号: P05147别名: AIP1; ALIX; HP95; DRIP4应用: IHC反应种属: Human, Mouse, Rat
-
分类: 科研抗体货号: P05182别名: WT5; WTSL; RPF-1应用: WB,IHC反应种属: Human, Mouse
鄂公网安备42018502007531号

