-
分类: 科研抗体货号: P04789别名: CX45; GJA7应用: WB反应种属: Human, Mouse, Rat
-
分类: 科研抗体货号: P04786别名: CMG1; CCDC2; CMG-1应用: WB反应种属: Human
-
分类: 科研抗体货号: P04833别名: ced5; DOCK180应用: IHC反应种属: Human, Mouse
-
分类: 科研抗体货号: P04785别名: CRR9应用: WB,IHC反应种属: Human
-
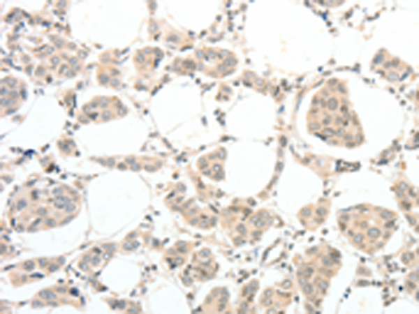
分类: 科研抗体货号: P04829别名: D2; 5DII; SelY; DIOII; TXDI2应用: IHC反应种属: Human, Mouse, Rat
-
分类: 科研抗体货号: P04779别名: CDA1; CTCL; NP79; TSPX; CINAP; DENTT; SE204; HRIHFB2216应用: IHC反应种属: Human
-
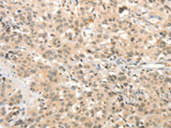
分类: 科研抗体货号: P04828别名: DCR1; MNG1; Dicer; HERNA; RMSE2应用: IHC反应种属: Human, Mouse
-
分类: 科研抗体货号: P04777别名:应用: IHC反应种属: Human
-
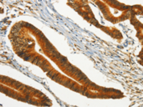
分类: 科研抗体货号: P04827别名: GDXYM; HHG-3; SRXY7应用: IHC反应种属: Human
-
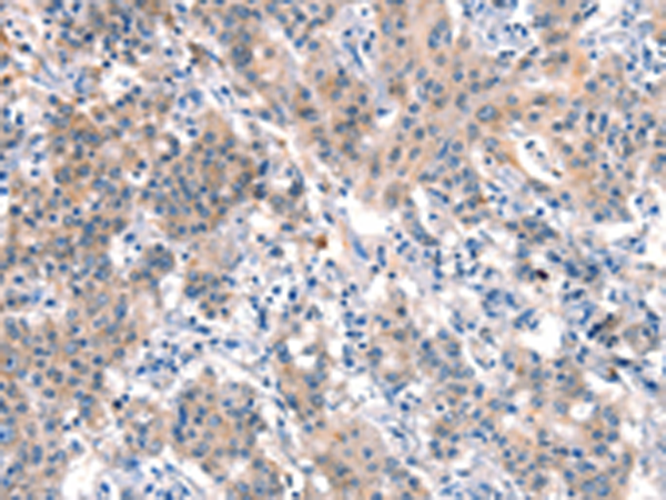
分类: 科研抗体货号: P04776别名: BNF1; CHL2; FKSG37应用: WB,IHC反应种属: Human
鄂公网安备42018502007531号

