-
分类: 科研抗体货号: P02320别名:应用: IHC反应种属: Human, Mouse
-
分类: 科研抗体货号: P02319别名: PCH1; PCH1A应用: WB,IHC反应种属: Human, Mouse
-
分类: 科研抗体货号: P02377别名: MDDGA11; B3GalNAc-T2应用: WB,IHC反应种属: Human, Mouse
-
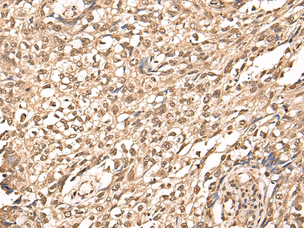
分类: 科研抗体货号: P02317别名: FOAP-4; GPI-80应用: IHC反应种属: Human
-
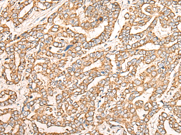
分类: 科研抗体货号: P02450别名: CASQ; PDIB1; VMCQA应用: IHC反应种属: Human, Mouse, Rat
-
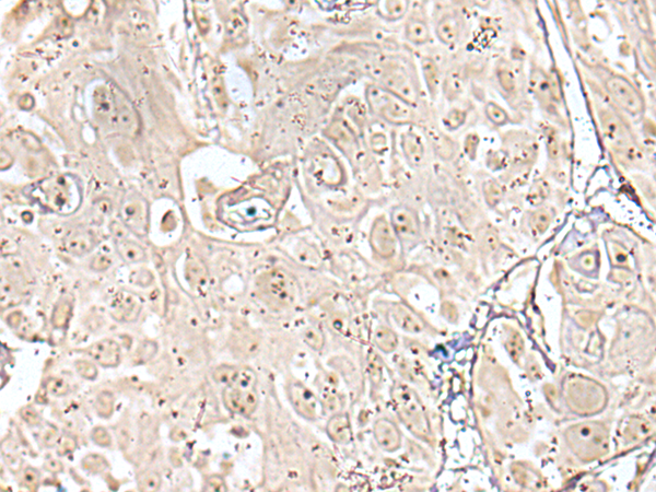
分类: 科研抗体货号: P02370别名:应用: WB,IHC反应种属: Human, Mouse, Rat
-
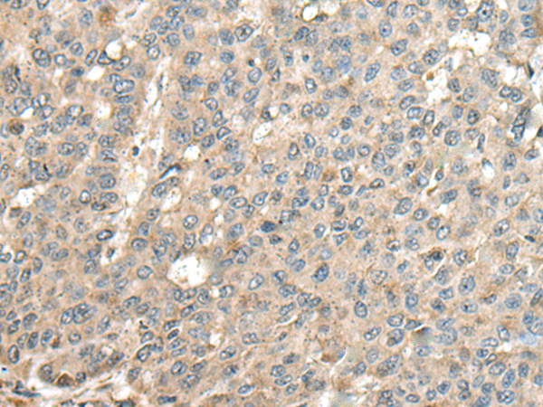
分类: 科研抗体货号: P02432别名: KNP-I应用: WB,IHC反应种属: Human
-
分类: 科研抗体货号: P02446别名: CD130; GP130; CDW130; IL-6RB应用: IHC反应种属: Human, Mouse, Rat
-
分类: 科研抗体货号: P02369别名: AFDC1; FNP001; THORASE应用: WB,IHC反应种属: Human, Mouse, Rat
-
分类: 科研抗体货号: P02431别名: C20orf31; C20orf49; bA4204.1应用: IHC反应种属: Human
鄂公网安备42018502007531号

