-
分类: 科研抗体货号: P01171别名: SLAM; CD150; CDw150应用: WB反应种属: Human
-
分类: 科研抗体货号: P01113别名: HHD; BCPM; PMR1; SPCA1; hSPCA1; ATP2C1A应用: IHC反应种属: Human, Mouse, Rat
-
分类: 科研抗体货号: P01134别名: C6.1A; BRCC36; CXorf53应用: WB反应种属: Human
-
分类: 科研抗体货号: P01164别名: CACRC应用: IHC反应种属: Human
-
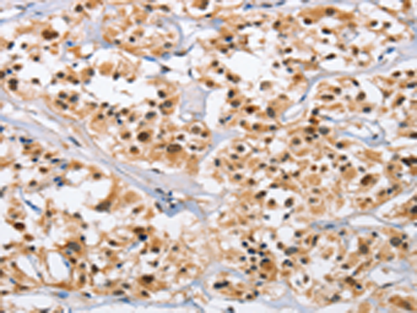
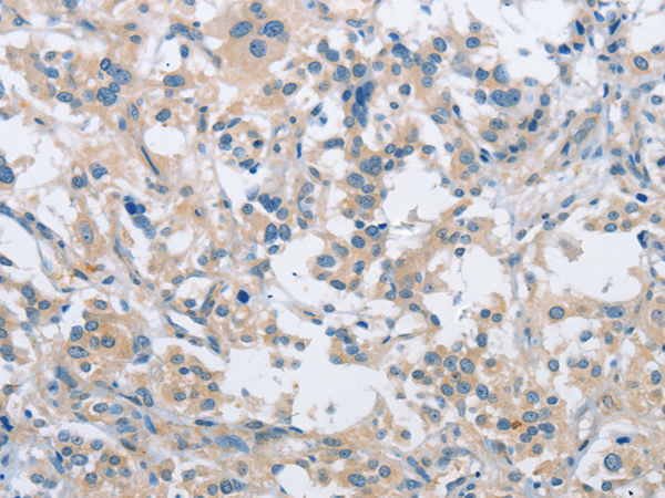
分类: 科研抗体货号: P01111别名: ACL; ATPCL; CLATP应用: IHC反应种属: Human, Mouse, Rat
-
分类: 科研抗体货号: P01126别名: Bif-1; CGI-61; PPP1R70; dJ612B15.2应用: WB,IHC反应种属: Human, Mouse, Rat
-
分类: 科研抗体货号: P01162别名: BTZ; MLN51应用: WB,IHC反应种属: Human, Mouse, Rat
-
分类: 科研抗体货号: P01110别名: GLC1F应用: WB反应种属: Human, Mouse
-
分类: 科研抗体货号: P01154别名: CAPD3; hcp-6; CAP-D3; hHCP-6; hCAP-D3应用: IHC反应种属: Human
-
分类: 科研抗体货号: P01211别名: SNF7; CTPP3; Shax1; CHMP4A; SNF7-2; VPS32B; CTRCT31; Vps32-2; C20orf178; dJ553F4.4应用: IHC反应种属: Human, Mouse
鄂公网安备42018502007531号

