-
分类: 科研抗体货号: P33299别名: Son of sevenless homolog 1, SOS-1, SOS1应用: WB反应种属: Human
-
分类: 科研抗体货号: P33314别名: Tumor suppressor candidate 2, Fusion 1 protein, Fus-1 protein, PDGFA-associated protein 2, TUSC2, C3orf11, FUS1, LGCC, PDAP2应用: WB反应种属: Human, Mouse
-
分类: 科研抗体货号: P33298别名: Tumor necrosis factor receptor superfamily member 16, Gp80-LNGFR, Low affinity neurotrophin receptor p75NTR, Low-affinity nerve growth factor receptor, NGF receptor, p75 ICD, CD271, NGFR, TNFRSF16应用: WB反应种属: Human, Mouse, Rat
-
分类: 科研抗体货号: P33313别名: Ras-related protein Rab-3B, RAB3B应用: WB,IHC,FCM反应种属: Human, Mouse, Rat
-
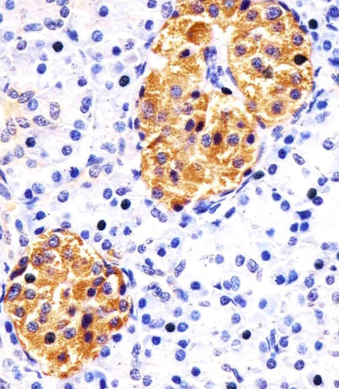
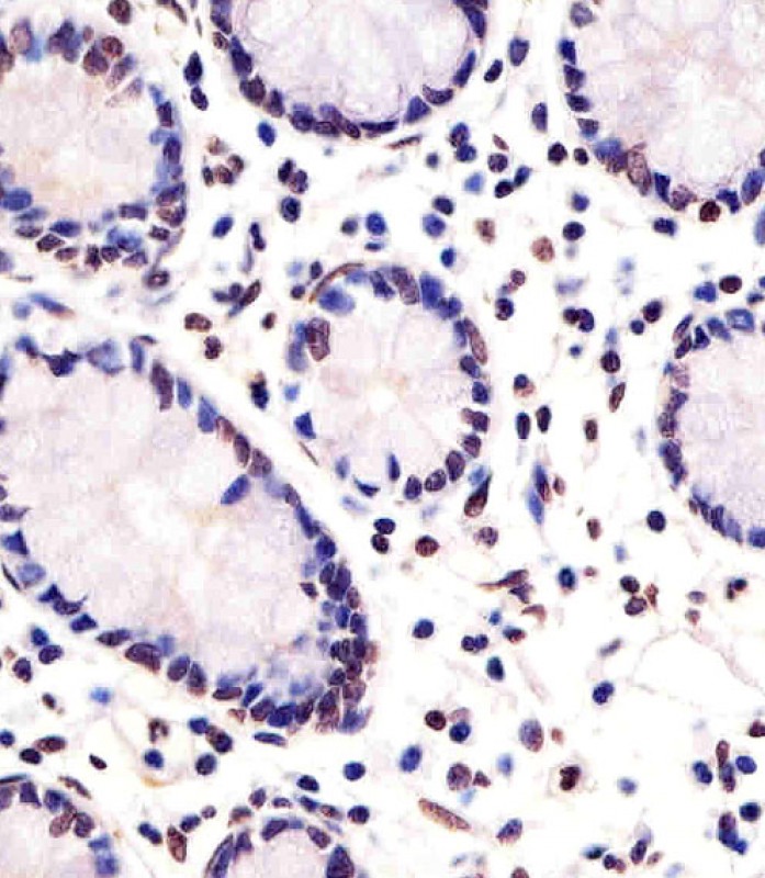
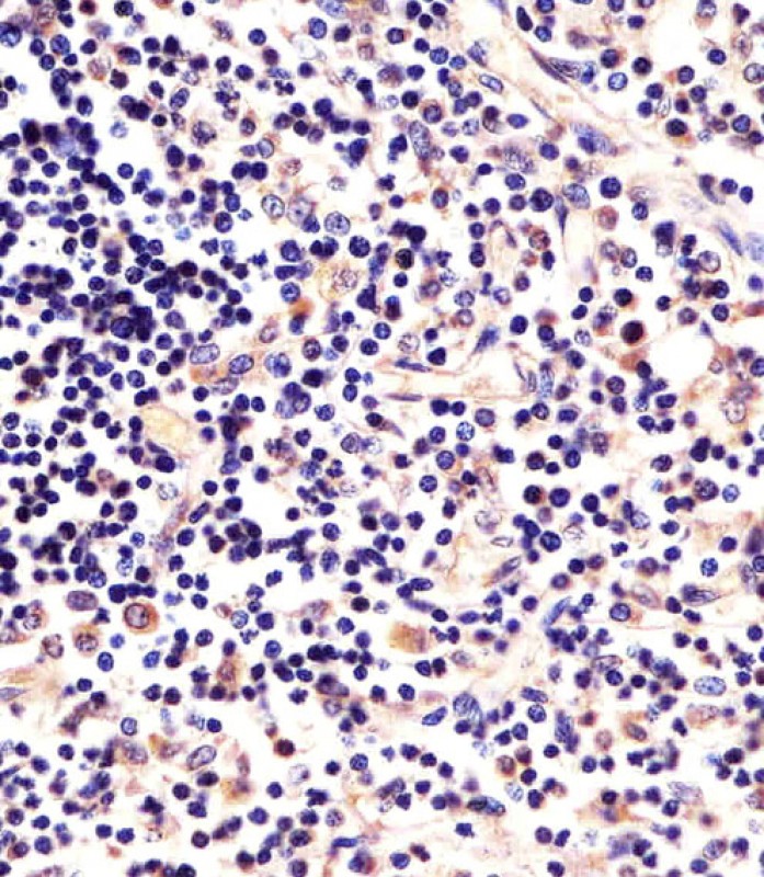
分类: 科研抗体货号: P33322别名: Protein FEV, Fifth Ewing variant protein, PC12 ETS domain-containing transcription factor 1, PC12 ETS factor 1, Pet-1, FEV, PET1应用: WB,IHC反应种属: Human, Mouse, Rat
-
分类: 科研抗体货号: P33312别名: Tyrosine-protein kinase Lck, Leukocyte C-terminal Src kinase, LSK, Lymphocyte cell-specific protein-tyrosine kinase, Protein YT16, Proto-oncogene Lck, T cell-specific protein-tyrosine kinase, p56-LCK, LCK应用: WB,IHC,IF,FCM反应种属: Human, Mouse, Rat
-
分类: 科研抗体货号: P33321别名: Proteasome subunit beta type-6, Macropain delta chain, Multicatalytic endopeptidase complex delta chain, Proteasome delta chain, Proteasome subunit Y, PSMB6, LMPY, Y应用: WB反应种属: Human, Mouse, Rat
-
分类: 科研抗体货号: P33311别名: Ras-related protein Rab-3A, RAB3A应用: WB,IF,FCM反应种属: Human, Mouse, Rat
-
分类: 科研抗体货号: P33320别名: Formin-1, Limb deformity protein homolog, FMN1, FMN, LD应用: WB反应种属: Human
-
分类: 科研抗体货号: P33310别名: Methylated-DNA--protein-cysteine methyltransferase, 6-O-methylguanine-DNA methyltransferase, MGMT, O-6-methylguanine-DNA-alkyltransferase, MGMT应用: WB,FCM反应种属: Human, Mouse, Rat
鄂公网安备42018502007531号

