-
分类: 科研抗体货号: P33285别名: Protein-tyrosine kinase 2-beta, Calcium-dependent tyrosine kinase, CADTK, Calcium-regulated non-receptor proline-rich tyrosine kinase, Cell adhesion kinase beta, CAK-beta, CAKB, Focal adhesion kinase 2, FADK 2, Proline-rich tyrosine kinase 2, Related adhe应用: WB反应种属: Human, Mouse, Rat
-
分类: 科研抗体货号: P33297别名: Protein SCO1 homolog, mitochondrial, SCO1, SCOD1应用: WB反应种属: Human, Mouse
-
分类: 科研抗体货号: P33278别名: Serine protease 42, 3421-, Testis serine protease 2, PRSS42, TESSP2应用: WB反应种属: Human
-
分类: 科研抗体货号: P33284别名: Semaphorin-4B, SEMA4B, KIAA1745, SEMAC应用: WB反应种属: Human, Mouse, Rat
-
分类: 科研抗体货号: P33296别名: Melanopsin-like, Melanopsin, Opsin-4-like, opn4l, opn4c, opn4m2应用: WB反应种属: zebrafish
-
分类: 科研抗体货号: P33277别名: Chymase, Alpha-chymase, Mast cell protease I, CMA1, CYH, CYM应用: WB反应种属: Human, Mouse, Rat
-
分类: 科研抗体货号: P33283别名: Tyrosine-protein kinase Mer, Proto-oncogene c-Mer, Receptor tyrosine kinase MerTK, Mertk, Mer应用: WB反应种属: Mouse, Rat
-
分类: 科研抗体货号: P33295别名: Delta-like protein C, DeltaC, delC, dlc应用: WB反应种属: zebrafish
-
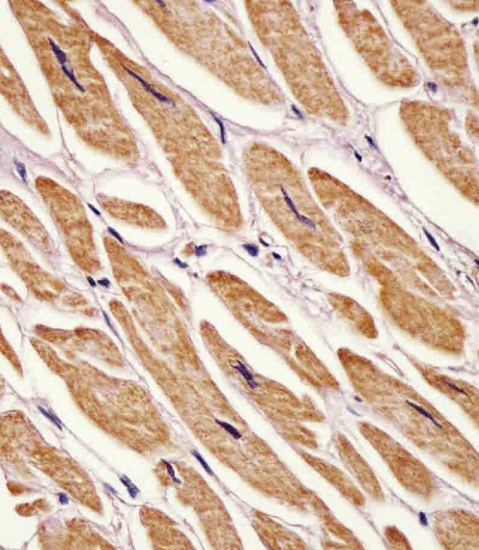
分类: 科研抗体货号: P33276别名: Adenylate kinase 2, mitochondrial {ECO:0000255|HAMAP-Rule:MF_03168}, AK 2 {ECO:0000255|HAMAP-Rule:MF_03168}, 2743 {ECO:0000255|HAMAP-Rule:MF_03168}, ATP-AMP transphosphorylase 2 {ECO:0000255|HAMAP-Rule:MF_03168}, ATP:AMP phosphotransferase {ECO:0000255|HA应用: WB,IHC,FCM反应种属: Human,Mouse,zebrafish,
-
分类: 科研抗体货号: P33309别名:应用: WB反应种属: Human, Mouse, Rat
鄂公网安备42018502007531号

