-
分类: 科研抗体货号: P33239别名: Abelson tyrosine-protein kinase 2, Abelson murine leukemia viral oncogene homolog 2, Abelson-related gene protein, Tyrosine-protein kinase ARG, Abl2 {ECO:0000312|EMBL:AAY860391, ECO:0000312|MGI:MGI:87860}应用: WB反应种属: Human, Mouse
-
分类: 科研抗体货号: P33219别名: Dual specificity protein kinase CLK2, CDC-like kinase 2, Clk2应用: WB反应种属: Human, Mouse
-
分类: 科研抗体货号: P33226别名: LIM homeobox transcription factor 1-alpha, LIM/homeobox protein 11, LMX-11, LIM/homeobox protein LMX1A, LMX1A应用: WB反应种属: Human, Mouse
-
分类: 科研抗体货号: P33238别名: Sal-like protein 4, Zinc finger protein SALL4, Sall4应用: WB反应种属: Human, Mouse, Rat
-
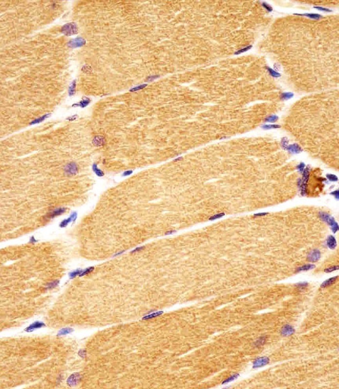
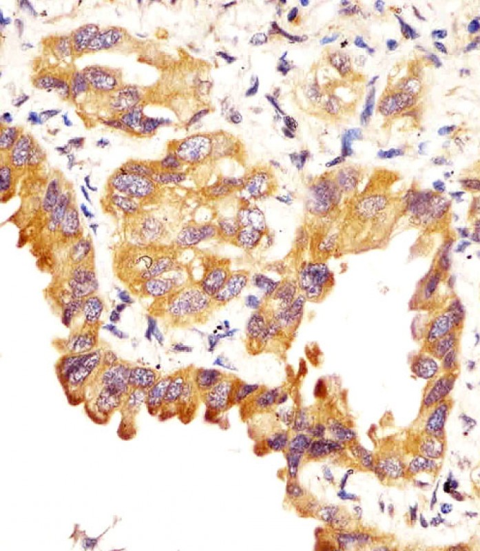
分类: 科研抗体货号: P33218别名: Pulmonary surfactant-associated protein C, SP-C, Pulmonary surfactant-associated proteolipid SPL(Val), SP5, SFTPC, SFTP2应用: WB,IHC反应种属: Human
-
分类: 科研抗体货号: P33255别名: Dual specificity mitogen-activated protein kinase kinase 7, MAP kinase kinase 7, MAPKK 7, JNK-activating kinase 2, MAPK/ERK kinase 7, MEK 7, Stress-activated protein kinase kinase 4, SAPK kinase 4, SAPKK-4, SAPKK4, c-Jun N-terminal kinase kinase 2, JNK ki应用: WB反应种属: Human, Mouse, Rat
-
分类: 科研抗体货号: P33237别名: Retinoic acid receptor gamma, RAR-gamma, Nuclear receptor subfamily 1 group B member 3, RARG, NR1B3应用: WB反应种属: Human, Mouse
-
分类: 科研抗体货号: P33217别名: Segment polarity protein dishevelled homolog DVL-1, Dishevelled-1, DSH homolog 1, DVL1应用: WB,IHC,IF反应种属: Human, Mouse, Rat
-
分类: 科研抗体货号: P33254别名: DNA repair and recombination protein RAD54B, 364-, RAD54 homolog B, RAD54B应用: WB反应种属: Human
-
分类: 科研抗体货号: P33235别名: Nucleoprotein TPR, Megator, NPC-associated intranuclear protein, Translocated promoter region protein, TPR应用: WB反应种属: Human, Mouse, Rat
鄂公网安备42018502007531号

