-
分类: 科研抗体货号: P33106别名: Histone-lysine N-methyltransferase EHMT2, 211-, Euchromatic histone-lysine N-methyltransferase 2, HLA-B-associated transcript 8, Histone H3-K9 methyltransferase 3, H3-K9-HMTase 3, Protein G9a, Ehmt2, Bat8, G9a, Ng36应用: WB反应种属: Human, Mouse, Rat
-
分类: 科研抗体货号: P33125别名: DNA fragmentation factor subunit beta, 3---, Caspase-activated deoxyribonuclease, CAD, Caspase-activated DNase, Caspase-activated nuclease, CPAN, DNA fragmentation factor 40 kDa subunit, DFF-40, DFFB, CAD, DFF2, DFF40应用: WB,IHC,FCM反应种属: Human
-
分类: 科研抗体货号: P33135别名: Ras-related protein Rab-11B, GTP-binding protein YPT3, RAB11B, YPT3应用: WB,IHC反应种属: Human, Rat
-
分类: 科研抗体货号: P33104别名: Runt-related transcription factor 1, Acute myeloid leukemia 1 protein, Core-binding factor subunit alpha-2, CBF-alpha-2, Oncogene AML-1, Polyomavirus enhancer-binding protein 2 alpha B subunit, PEA2-alpha B, PEBP2-alpha B, SL3-3 enhancer factor 1 alpha B应用: WB反应种属: Human, Mouse, Rat
-
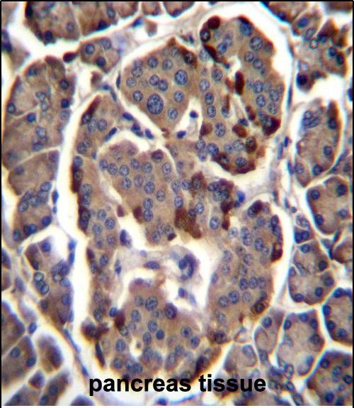
分类: 科研抗体货号: P33123别名: Paired box protein Pax-4, PAX4应用: WB,IHC,FCM反应种属: Human, Mouse, Rat
-
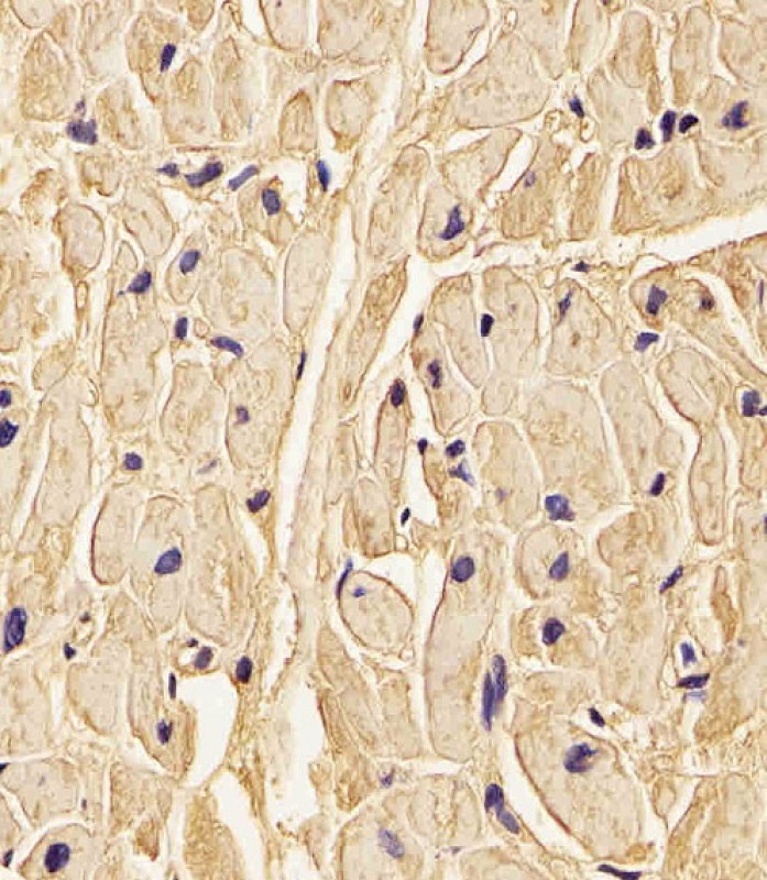
分类: 科研抗体货号: P33134别名: Procollagen-lysine,2-oxoglutarate 5-dioxygenase 1, Lysyl hydroxylase 1, LH1, PLOD1, LLH, PLOD应用: WB,IHC,FCM反应种属: Human, Mouse, Rat
-
分类: 科研抗体货号: P33122别名: Suppression of tumorigenicity 18 protein, Zinc finger protein 387, ST18, KIAA0535, ZNF387应用: WB反应种属: Human, Mouse, Rat
-
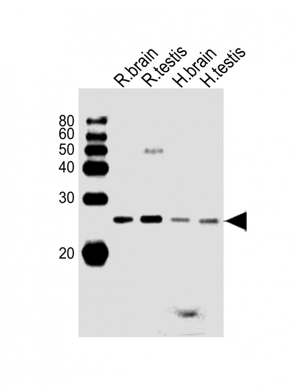
分类: 科研抗体货号: P33133别名: DNA (cytosine-5)-methyltransferase 3B, Dnmt3b, DNA methyltransferase HsaIIIB, DNA MTase HsaIIIB, MHsaIIIB, DNMT3B应用: WB,IHC反应种属: Human
-
分类: 科研抗体货号: P33149别名: Three prime repair exonuclease 2, 3'-5' exonuclease TREX2, Trex2应用: WB反应种属: Human, Mouse, Rat
-
分类: 科研抗体货号: P33132别名: Eukaryotic translation elongation factor 1 epsilon-1, Aminoacyl tRNA synthetase complex-interacting multifunctional protein 3, Elongation factor p18, Multisynthase complex auxiliary component p18, EEF1E1, AIMP3, P18应用: WB,IF,FCM反应种属: Human, Mouse
鄂公网安备42018502007531号

