-
分类: 科研抗体货号: P33058别名:应用: WB反应种属: Human, Mouse, Rat
-
分类: 科研抗体货号: P33067别名: Membrane-associated guanylate kinase, WW and PDZ domain-containing protein 2, Atrophin-1-interacting protein 1, AIP-1, Atrophin-1-interacting protein A, Membrane-associated guanylate kinase inverted 2, MAGI-2, MAGI2, ACVRINP1, AIP1, KIAA0705应用: WB反应种属: Human, Mouse, Rat
-
分类: 科研抗体货号: P33085别名: D site-binding protein, Albumin D box-binding protein, Albumin D-element-binding protein, Tax-responsive enhancer element-binding protein 302, TaxREB302, DBP应用: WB反应种属: Human, Mouse, Rat
-
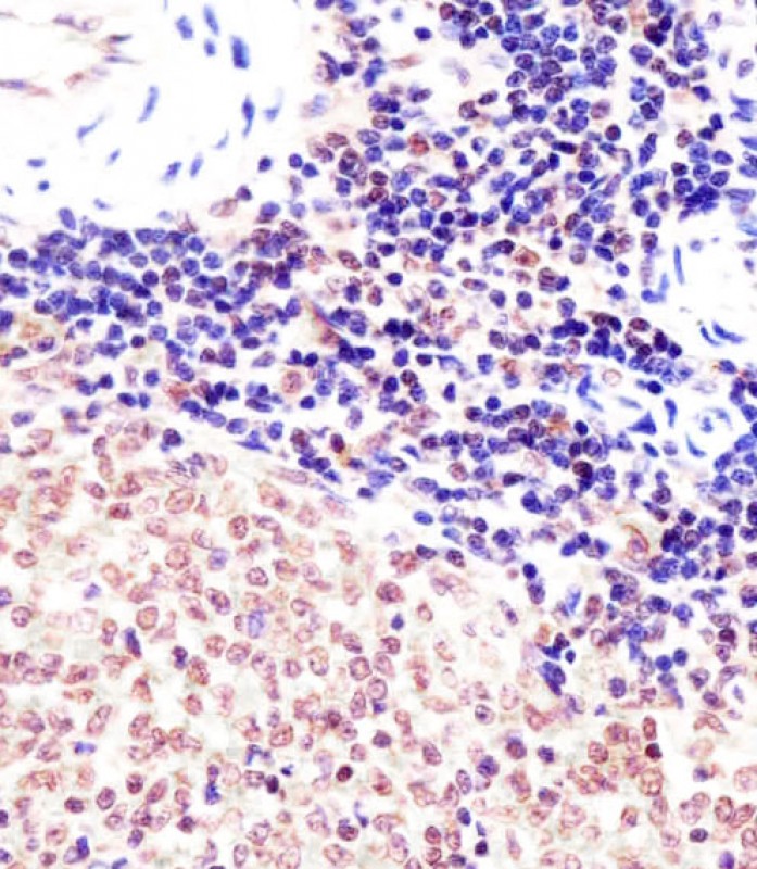
分类: 科研抗体货号: P33066别名: Polycomb protein Suz12, Suppressor of zeste 12 protein homolog, Suz12, D11Ertd530e, Kiaa0160应用: WB,IHC反应种属: Human, Mouse
-
分类: 科研抗体货号: P33084别名: Neuron-specific vesicular protein calcyon, CALY, DRD1IP应用: WB反应种属: Human
-
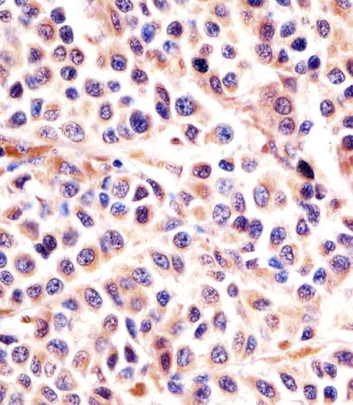
分类: 科研抗体货号: P33065别名: Interleukin-24, IL-24, Melanoma differentiation-associated gene 7 protein, MDA-7, Suppression of tumorigenicity 16 protein, IL24, MDA7, ST16应用: WB,IHC,FCM反应种属: Human, Mouse, Rat
-
分类: 科研抗体货号: P33083别名: Histone-lysine N-methyltransferase EHMT2, 211-, Euchromatic histone-lysine N-methyltransferase 2, HLA-B-associated transcript 8, Histone H3-K9 methyltransferase 3, H3-K9-HMTase 3, Protein G9a, Ehmt2, Bat8, G9a, Ng36应用: WB反应种属: Human, Mouse
-
分类: 科研抗体货号: P33064别名: Homeobox protein Hox-B4, Homeobox protein Hox-26, Hoxb4, Hox-26, Hoxb-4应用: WB反应种属: Human, Mouse
-
分类: 科研抗体货号: P33082别名: Cell cycle checkpoint control protein RAD9A, mRAD9, DNA repair exonuclease rad9 homolog A, Rad9-like protein, Rad9a, Rad9应用: WB反应种属: Human, Mouse
-
分类: 科研抗体货号: P33063别名: Serine/threonine-protein phosphatase 2A 55 kDa regulatory subunit B alpha isoform, PP2A subunit B isoform B55-alpha, PP2A subunit B isoform PR55-alpha, PP2A subunit B isoform R2-alpha, PP2A subunit B isoform alpha, PPP2R2A应用: WB反应种属: Human, Mouse, Rat
鄂公网安备42018502007531号

