-
分类: 科研抗体货号: P33056别名: Lysine-specific demethylase 6A, 11411-, Histone demethylase UTX, Ubiquitously transcribed TPR protein on the X chromosome, Ubiquitously transcribed X chromosome tetratricopeptide repeat protein, Kdm6a, Utx应用: WB反应种属: Human, Mouse
-
分类: 科研抗体货号: P33038别名: Histone-lysine N-methyltransferase NSD3, Nuclear SET domain-containing protein 3, Protein whistle, WHSC1-like 1 isoform 9 with methyltransferase activity to lysine, Wolf-Hirschhorn syndrome candidate 1-like protein 1, WHSC1-like protein 1, WHSC1L1, NSD3应用: WB反应种属: Human, Mouse
-
分类: 科研抗体货号: P33021别名: Gamma-aminobutyric acid receptor subunit theta, GABA(A) receptor subunit theta, GABRQ应用: WB反应种属: Human
-
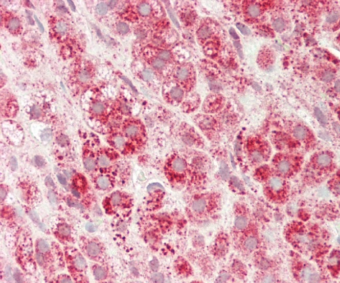
分类: 科研抗体货号: P33055别名: Zinc finger protein ubi-d4, Apoptosis response zinc finger protein, BRG1-associated factor 45D, BAF45D, D4, zinc and double PHD fingers family 2, Protein requiem, Dpf2, Baf45d, Req, Ubid4应用: WB,IHC反应种属: Human, Mouse
-
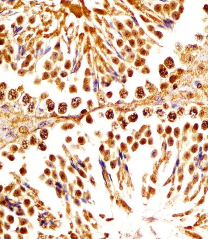
分类: 科研抗体货号: P33036别名: Segment polarity protein dishevelled homolog DVL-3, Dishevelled-3, DSH homolog 3, DVL3, KIAA0208应用: WB,IHC,IF反应种属: Human, Mouse
-
分类: 科研抗体货号: P33020别名:应用: WB反应种属: Human,Mouse,zebrafish,
-
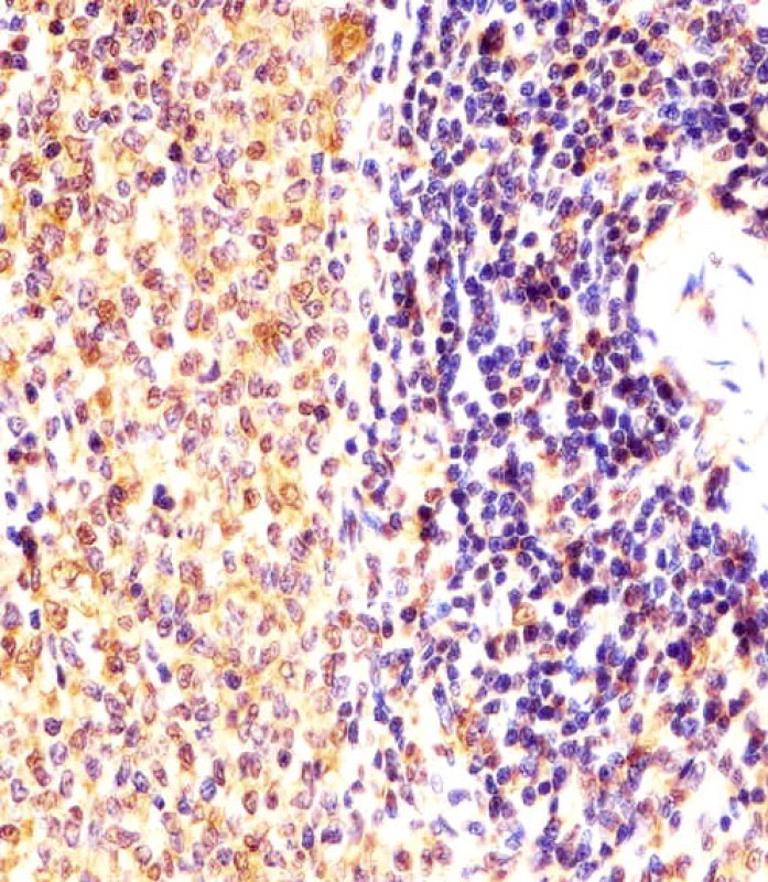
分类: 科研抗体货号: P33053别名: Exocyst complex component 3, Exocyst complex component Sec6, EXOC3, SEC6, SEC6L1应用: WB,IHC反应种属: Human
-
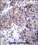
分类: 科研抗体货号: P33035别名: Monocarboxylate transporter 11, MCT 11, Solute carrier family 16 member 11, SLC16A11, MCT11应用: WB,IHC,FCM反应种属: Human, Mouse
-
分类: 科研抗体货号: P33019别名: Vasopressin V2 receptor, V2R, AVPR V2, Antidiuretic hormone receptor, Renal-type arginine vasopressin receptor, AVPR2, ADHR, DIR, DIR3, V2R应用: WB,FCM反应种属: Human
-
分类: 科研抗体货号: P33052别名: Cell cycle checkpoint control protein RAD9A, mRAD9, DNA repair exonuclease rad9 homolog A, Rad9-like protein, Rad9a, Rad9应用: WB反应种属: Human, Mouse
鄂公网安备42018502007531号

