-
分类: 科研抗体货号: P32979别名: BDNF/NT-3 growth factors receptor, GP145-TrkB, Trk-B, Neurotrophic tyrosine kinase receptor type 2, TrkB tyrosine kinase, Tropomyosin-related kinase B, NTRK2, TRKB应用: WB,IHC,FCM反应种属: Human, Mouse
-
分类: 科研抗体货号: P32990别名: Hemogen, Erythroid differentiation-associated gene protein, EDAG-1, Hemopoietic gene protein, Negative differentiation regulator protein, HEMGN, EDAG, NDR应用: WB反应种属: Human
-
分类: 科研抗体货号: P32973别名: Heparan-sulfate 6-O-sulfotransferase 2, HS6ST-2, 282-, HS6ST2应用: WB反应种属: Human, Mouse
-
分类: 科研抗体货号: P33004别名: Uroplakin-2, UP2, Uroplakin II, UPII, UPK2应用: WB反应种属: Human, Mouse, Rat
-
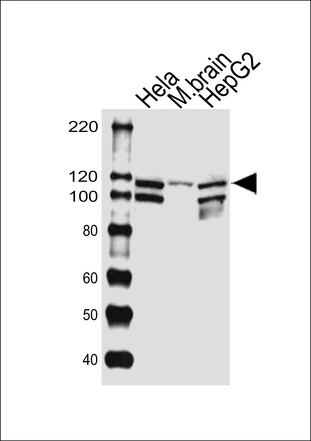
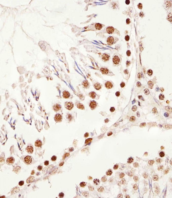
分类: 科研抗体货号: P32989别名: SWI/SNF complex subunit SMARCC1, BRG1-associated factor 155, SWI/SNF complex 155 kDa subunit, SWI/SNF-related matrix-associated actin-dependent regulator of chromatin subfamily C member 1, SWI3-related protein, BAF155, Smarcc1, Baf155, Srg3应用: WB,IHC,IF反应种属: Human, Mouse, Rat
-
分类: 科研抗体货号: P32972别名: Platelet-derived growth factor D, PDGF-D, Iris-expressed growth factor, Spinal cord-derived growth factor B, SCDGF-B, Platelet-derived growth factor D, latent form, PDGFD latent form, Platelet-derived growth factor D, receptor-binding form, PDGFD receptor应用: WB反应种属: Human, Mouse, Rat
-
分类: 科研抗体货号: P33003别名: Acetoacetyl-CoA synthetase, Acyl-CoA synthetase family member 1, Protein sur-5 homolog, AACS, ACSF1应用: WB反应种属: Human, Mouse, Rat
-
分类: 科研抗体货号: P32988别名: Ubiquitin-protein ligase E3C, 632-, HectH2, UBE3C, KIAA0010, KIAA10应用: WB反应种属: Human, Mouse
-
分类: 科研抗体货号: P32971别名: C-X-C motif chemokine 11, Beta-R1, H174, Interferon gamma-inducible protein 9, IP-9, Interferon-inducible T-cell alpha chemoattractant, I-TAC, Small-inducible cytokine B11, CXCL11, ITAC, SCYB11, SCYB9B应用: WB反应种属: Human, Mouse, Rat
-
分类: 科研抗体货号: P33002别名:应用: WB反应种属: Human, Mouse
鄂公网安备42018502007531号

