-
分类: 科研抗体货号: P32809别名: Serum response factor, SRF, Srf应用: WB反应种属: Human, Mouse, Rat
-
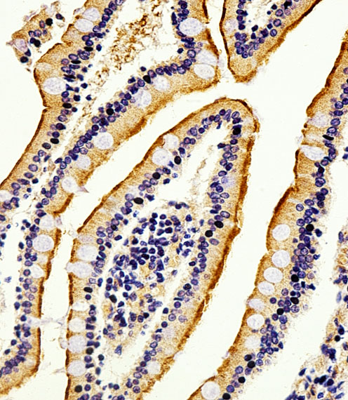
分类: 科研抗体货号: P32789别名: Intestinal-type alkaline phosphatase, IAP, Intestinal alkaline phosphatase, ALPI应用: WB,IHC,IF反应种属: Human
-
分类: 科研抗体货号: P32773别名: Zinc finger imprinted 2, Zinc finger protein 656, ZIM2, ZNF656应用: WB反应种属: Human
-
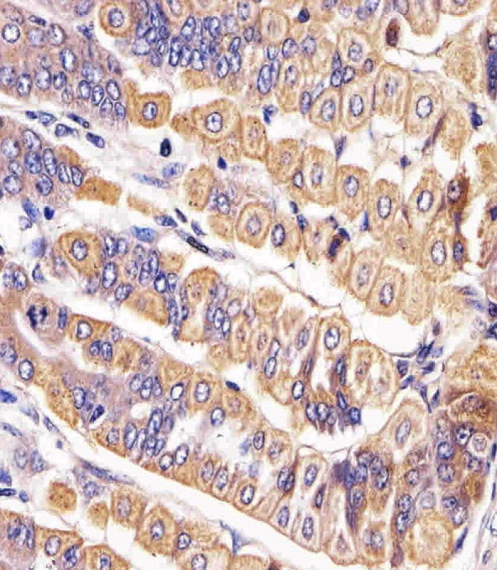
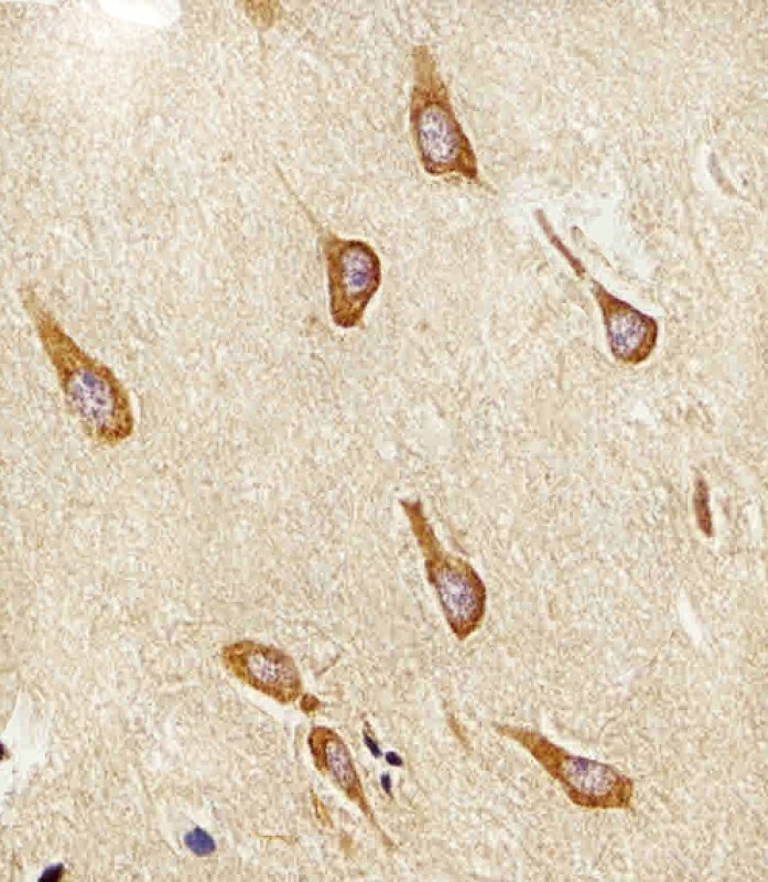
分类: 科研抗体货号: P32808别名: Platelet-activating factor acetylhydrolase IB subunit alpha {ECO:0000255|HAMAP-Rule:MF_03141}, Lissencephaly-1 protein {ECO:0000255|HAMAP-Rule:MF_03141}, LIS-1 {ECO:0000255|HAMAP-Rule:MF_03141}, PAF acetylhydrolase 45 kDa subunit {ECO:0000255|HAMAP-Rule:M应用: WB,IHC反应种属: Human, Mouse, Rat
-
分类: 科研抗体货号: P32788别名: Vitamin D3 receptor, VDR,25-dihydroxyvitamin D3 receptor, Nuclear receptor subfamily 1 group I member 1, VDR, NR1I1应用: WB,FCM反应种属: Human
-
分类: 科研抗体货号: P32799别名: E3 ubiquitin-protein ligase RING1, 632-, Polycomb complex protein RING1, RING finger protein 1, Transcription repressor Ring1A, Ring1, Ring1A, Rnf1应用: WB反应种属: Human, Mouse, Rat
-
分类: 科研抗体货号: P32807别名: Transcription factor SOX-17, Sox17, Sox-17应用: WB反应种属: Human, Mouse, Rat
-
分类: 科研抗体货号: P32787别名: Mitogen-activated protein kinase 11, MAP kinase 11, MAPK 11, Mitogen-activated protein kinase p38 beta, MAP kinase p38 beta, p38B, Mapk11, Prkm11应用: WB,IHC,FCM反应种属: Human, Mouse
-
分类: 科研抗体货号: P32798别名: Tyrosine-protein kinase transmembrane receptor ROR2, mROR2, Neurotrophic tyrosine kinase, receptor-related 2, Ror2应用: WB,IHC反应种属: Human, Mouse
-
分类: 科研抗体货号: P32806别名: Protein delta homolog 1, DLK-1, Adipocyte differentiation inhibitor protein, Preadipocyte factor 1, Pref-1, Fetal antigen 1, FA1, Dlk1, Dlk, Pref1, Scp-1应用: WB,FCM反应种属: Human, Mouse, Rat
鄂公网安备42018502007531号

