-
分类: 科研抗体货号: P32784别名: Endoplasmin, 94 kDa glucose-regulated protein, GRP-94, Heat shock protein 90 kDa beta member 1, Tumor rejection antigen 1, gp96 homolog, HSP90B1, GRP94, TRA1应用: WB,IHC,FCM反应种属: Human, Mouse, Rat
-
分类: 科研抗体货号: P32768别名: PAX-interacting protein 1, PAX transactivation activation domain-interacting protein, PAXIP1, PAXIP1L, PTIP应用: WB反应种属: Human
-
分类: 科研抗体货号: P32783别名: Homeobox protein Hox-A10, Homeobox protein Hox-18, Homeobox protein Hox-1H, PL, HOXA10, HOX1H应用: WB,FCM反应种属: Human
-
分类: 科研抗体货号: P32767别名: Synaptic vesicle glycoprotein 2C, SV2C, KIAA1054应用: WB反应种属: Human, Mouse, Rat
-
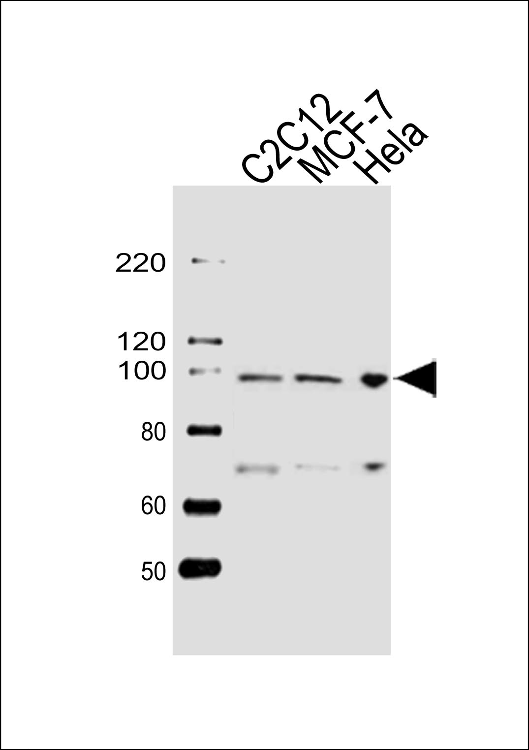
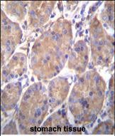
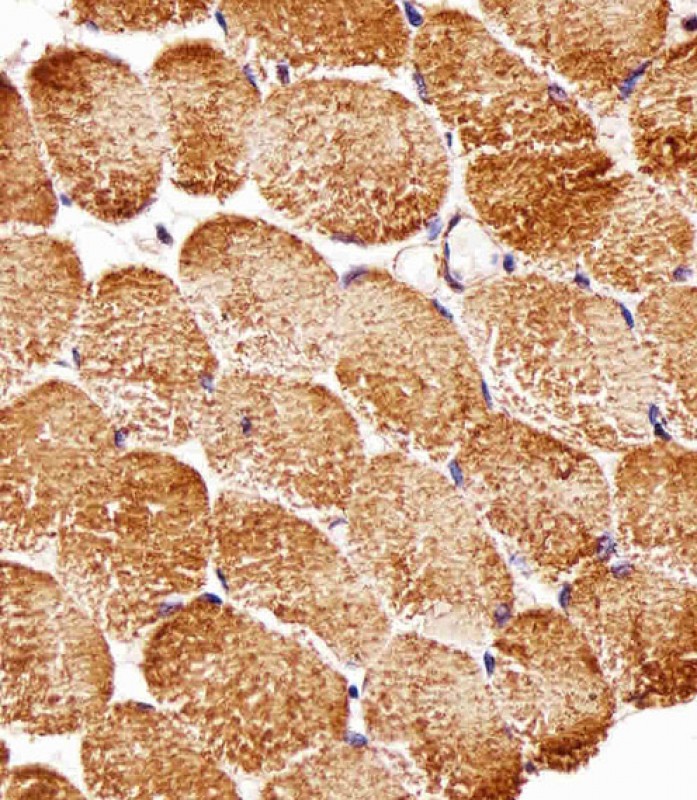
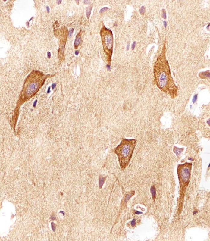
分类: 科研抗体货号: P32782别名: Regulatory-associated protein of mTOR, Raptor, p150 target of rapamycin (TOR)-scaffold protein, RPTOR, KIAA1303, RAPTOR应用: WB,IHC反应种属: Human, Mouse, Rat
-
分类: 科研抗体货号: P32765别名: Zinc finger protein 610, ZNF610应用: WB反应种属: Human
-
分类: 科研抗体货号: P32781别名: Vesicle-associated membrane protein 8, VAMP-8, Endobrevin, EDB, VAMP8应用: WB,IHC反应种属: Human
-
分类: 科研抗体货号: P32764别名: HLA class II histocompatibility antigen, DRB1-15 beta chain, DW22/DR22, MHC class II antigen DRB1*15, HLA-DRB1, HLA-DRB2应用: WB反应种属: Human
-
分类: 科研抗体货号: P32780别名: Lysophosphatidic acid receptor 2, LPA receptor 2, LPA-2, Lysophosphatidic acid receptor Edg-4, LPAR2, EDG4, LPA2应用: WB,IHC反应种属: Human, Mouse
-
分类: 科研抗体货号: P32763别名: MAP kinase-activated protein kinase 3, MAPK-activated protein kinase 3, MAPKAP kinase 3, MAPKAP-K3, MAPKAPK-3, MK-3, Mapkapk3应用: WB,IHC反应种属: Human, Mouse, Rat
鄂公网安备42018502007531号

