-
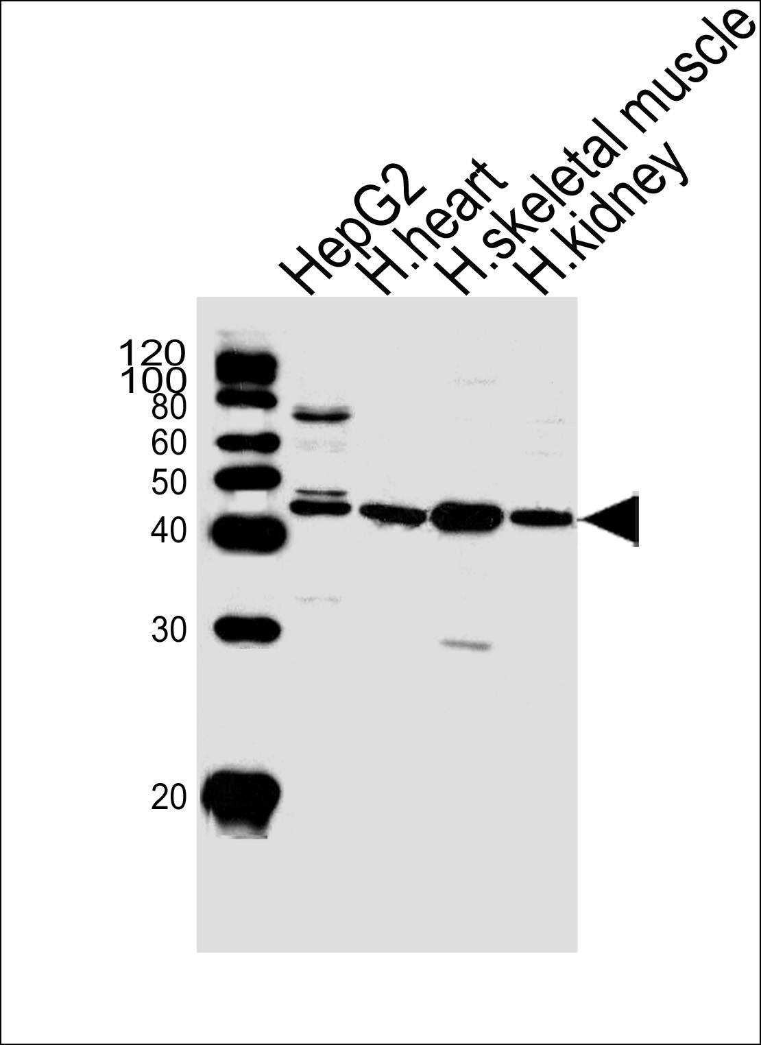
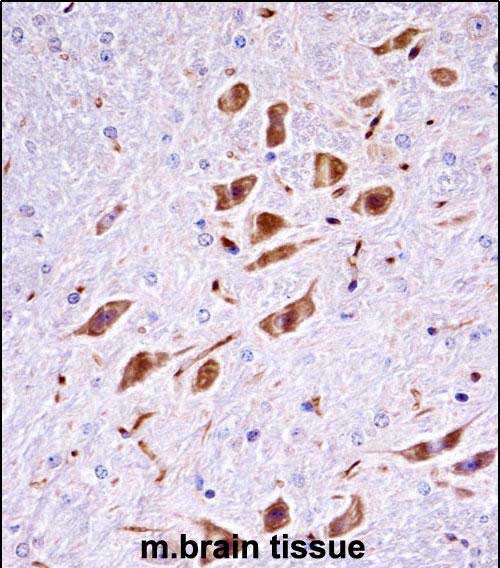
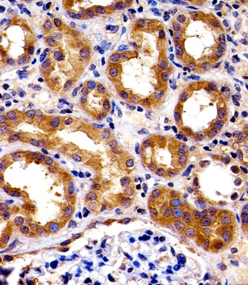
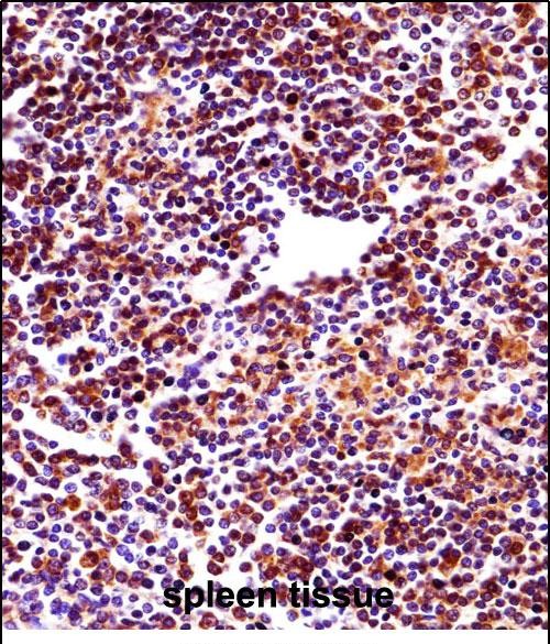
分类: 科研抗体货号: P32696别名: Septin-9, MLL septin-like fusion protein MSF-A, MLL septin-like fusion protein, Ovarian/Breast septin, Ov/Br septin, Septin D1, SEPT9, KIAA0991, MSF应用: WB,IHC,FCM反应种属: Human
-
分类: 科研抗体货号: P32697别名: Sphingosine kinase 1, SK 1, SPK 1, SPHK1, SPHK, SPK应用: WB,IHC反应种属: Human
-
分类: 科研抗体货号: P32710别名: Tyrosine-protein kinase HCK, B-cell/myeloid kinase, BMK, Hematopoietic cell kinase, Hemopoietic cell kinase, p56-HCK/p59-HCK, Hck应用: WB反应种属: Mouse, Rat
-
分类: 科研抗体货号: P32695别名: Calcitonin receptor, CT-R, CALCR应用: WB,IF,FCM反应种属: Human, Mouse, Rat
-
分类: 科研抗体货号: P32709别名: Transcription factor RFX4, Regulatory factor X 4, rfx4应用: WB反应种属: Human, Mouse
-
分类: 科研抗体货号: P32694别名: Remodeling and spacing factor 1, Rsf-1, HBV pX-associated protein 8, Hepatitis B virus X-associated protein, p325 subunit of RSF chromatin-remodeling complex, RSF1, HBXAP, XAP8应用: WB反应种属: Human
-
分类: 科研抗体货号: P32708别名: Pre-mRNA-splicing factor RBM22, RNA-binding motif protein 22, Zinc finger CCCH domain-containing protein 16, RBM22, ZC3H16应用: WB,IHC反应种属: Human
-
分类: 科研抗体货号: P32717别名: Ankyrin repeat domain-containing protein 24, ANKRD24, KIAA1981应用: WB反应种属: Human, Mouse
-
分类: 科研抗体货号: P32707别名: Serine/threonine-protein kinase PAK 3, Beta-PAK, CDC42/RAC effector kinase PAK-B, p21-activated kinase 3, PAK-3, Pak3, Pak-3, Pakb, Stk4应用: WB,IHC反应种属: Human, Mouse, Rat
-
分类: 科研抗体货号: P32716别名: Short/branched chain specific acyl-CoA dehydrogenase, mitochondrial, SBCAD, 2-methyl branched chain acyl-CoA dehydrogenase, 2-MEBCAD, 2-methylbutyryl-coenzyme A dehydrogenase, 2-methylbutyryl-CoA dehydrogenase, ACADSB应用: WB反应种属: Human
鄂公网安备42018502007531号

