-
分类: 科研抗体货号: P32689别名: Mitotic spindle assembly checkpoint protein MAD2A, HsMAD2, Mitotic arrest deficient 2-like protein 1, MAD2-like protein 1, MAD2L1, MAD2应用: WB反应种属: Human, Mouse
-
分类: 科研抗体货号: P32671别名: Protein diaphanous homolog 1, Diaphanous-related formin-1, DRF1, DIAPH1, DIAP1应用: WB反应种属: Human, Mouse
-
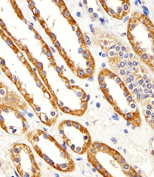
分类: 科研抗体货号: P32704别名: Phosphatidylethanolamine N-methyltransferase, PEAMT, PEMT, PEMT2, PEMT, PEMPT, PNMT应用: WB,IHC反应种属: Human, Mouse, Rat
-
分类: 科研抗体货号: P32688别名: Sperm protein associated with the nucleus on the X chromosome A, Cancer/testis antigen 111, CT111, Nuclear-associated protein SPAN-Xa, SPAN-X, SPANX-A, SPANX family member A, SPANXA1, SPANXA应用: WB反应种属: Human
-
分类: 科研抗体货号: P32670别名: ES1 protein homolog, mitochondrial, Protein GT335, Protein KNP-I, C21orf33, HES1, KNPI应用: WB,IF反应种属: Human, Mouse, Rat
-
分类: 科研抗体货号: P32703别名: Zinc finger protein 143, Selenocysteine tRNA gene transcription-activating factor, znf143, staf应用: WB反应种属: zebrafish
-
分类: 科研抗体货号: P32687别名: Plastin-2, L-plastin, Lymphocyte cytosolic plastin 1, lcp1 {ECO:0000312|EMBL:AAH623811}, pls2应用: WB反应种属: zebrafish
-
分类: 科研抗体货号: P32669别名: Cystin-1, Cilia-associated protein, CYS1应用: WB,IHC反应种属: Human, Mouse
-
分类: 科研抗体货号: P32702别名: Adenosine deaminase, Adenosine aminohydrolase, ada应用: WB反应种属: zebrafish
-
分类: 科研抗体货号: P32685别名: Prolyl 3-hydroxylase 1, Growth suppressor 1, Leucine- and proline-enriched proteoglycan 1, Leprecan-1, LEPRE1, GROS1, P3H1应用: WB反应种属: Human, Mouse, Rat
鄂公网安备42018502007531号

