-
分类: 科研抗体货号: P32628别名: Protein FAM216B, FAM216B, C13orf30应用: WB,IHC反应种属: Human
-
分类: 科研抗体货号: P32637别名: Transcription factor 21, TCF-21, Capsulin, Class A basic helix-loop-helix protein 23, bHLHa23, Epicardin, Podocyte-expressed 1, Pod-1, TCF21, BHLHA23, POD1应用: WB反应种属: Human, Mouse, Rat
-
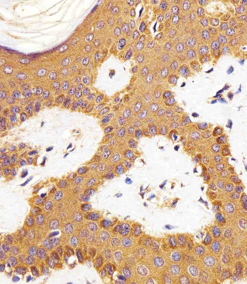
分类: 科研抗体货号: P32621别名: Aldehyde dehydrogenase, mitochondrial, ALDH class 2, ALDH-E2, ALDHI, ALDH2, ALDM应用: WB,IHC,IF,FCM反应种属: Human, Mouse, Rat
-
分类: 科研抗体货号: P32653别名: Myoglobin, MB应用: WB反应种属: Human, Mouse
-
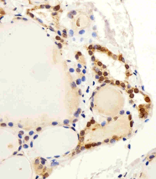
分类: 科研抗体货号: P32636别名: Calpain-2 catalytic subunit, Calcium-activated neutral proteinase 2, CANP 2, Calpain M-type, Calpain large polypeptide L2, Calpain-2 large subunit, Millimolar-calpain, M-calpain, CAPN2, CANPL2应用: WB,IHC,FCM反应种属: Human, Mouse
-
分类: 科研抗体货号: P32620别名: LIM domain-binding protein 1-A, LDB-1-A, LIM domain-binding protein 4, LDB-4, zLdb4, ldb1a, ldb4应用: WB反应种属: zebrafish
-
分类: 科研抗体货号: P32619别名: Transcription initiation factor TFIID subunit 2, 150 kDa cofactor of initiator function, RNA polymerase II TBP-associated factor subunit B, TBP-associated factor 150 kDa, Transcription initiation factor TFIID 150 kDa subunit, TAF(II)150, TAFII-150, TAFII1应用: WB,IHC,FCM反应种属: Human, Mouse
-
分类: 科研抗体货号: P32635别名: Ras-related C3 botulinum toxin substrate 1, Cell migration-inducing gene 5 protein, Ras-like protein TC25, p21-Rac1, RAC1, TC25应用: WB,IHC,FCM反应种属: Human, Mouse, Rat
-
分类: 科研抗体货号: P32652别名: Cadherin-20, CDH20, CDH7L3应用: WB反应种属: Human, Mouse, Rat
-
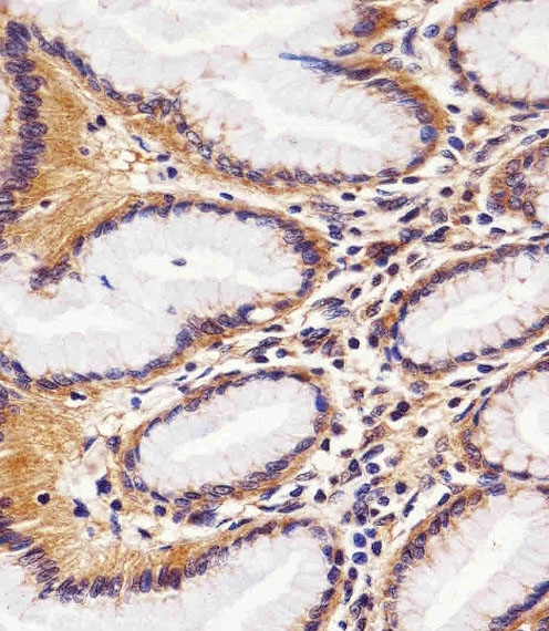
分类: 科研抗体货号: P32618别名: Alcohol dehydrogenase class 4 mu/sigma chain, Alcohol dehydrogenase class IV mu/sigma chain, Gastric alcohol dehydrogenase, Retinol dehydrogenase, ADH7应用: WB,IHC,IF,FCM反应种属: Human, Mouse, Rat
鄂公网安备42018502007531号

