-
分类: 科研抗体货号: P32575别名: Ribonuclease inhibitor, Placental ribonuclease inhibitor, Placental RNase inhibitor, Ribonuclease/angiogenin inhibitor 1, RAI, RNH1, PRI, RNH应用: WB,IF反应种属: Human
-
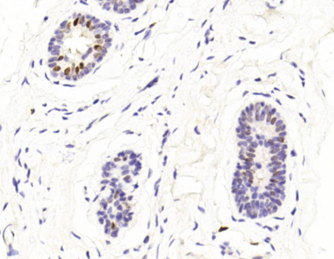
分类: 科研抗体货号: P32585别名: Trans-acting T-cell-specific transcription factor GATA-3, GATA-binding factor 3, GATA3应用: WB,IHC,IF,FCM反应种属: Human
-
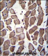
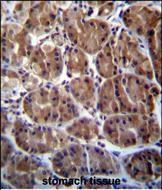
分类: 科研抗体货号: P32569别名: Phosphatidylinositol 4-phosphate 5-kinase-like protein 1, PI(4)P 5-kinase-like protein 1, PtdIns(4)P-5-kinase-like protein 1, PIP5KL1应用: WB,IHC,IF反应种属: Human
-
分类: 科研抗体货号: P32574别名: Suppressor of cytokine signaling 4, SOCS-4, Suppressor of cytokine signaling 7, SOCS-7, SOCS4, SOCS7应用: WB,IHC,IF反应种属: Human
-
分类: 科研抗体货号: P32584别名: Serine/threonine-protein kinase 3, Serine/threonine-protein kinase 3 36kDa subunit, MST2/N, Serine/threonine-protein kinase 3 20kDa subunit, MST2/C, stk3应用: WB反应种属: Human, Mouse, Rat, zebrafish
-
分类: 科研抗体货号: P32567别名: Ubiquitin carboxyl-terminal hydrolase 25, Deubiquitinating enzyme 25, USP on chromosome 21, Ubiquitin thioesterase 25, Ubiquitin-specific-processing protease 25, USP25, USP21应用: WB反应种属: Human
-
分类: 科研抗体货号: P32573别名: Low-density lipoprotein receptor-related protein 12, LRP-12, Suppressor of tumorigenicity 7 protein, LRP12, ST7应用: WB,IHC,IF,FCM反应种属: Human
-
分类: 科研抗体货号: P32583别名: Fanconi anemia group C protein, Protein FACC, FANCC, FAC, FACC应用: WB,IF反应种属: Human
-
分类: 科研抗体货号: P32566别名: AMP deaminase 3, AMP deaminase isoform E, Erythrocyte AMP deaminase, AMPD3应用: WB反应种属: Human, Mouse
-
分类: 科研抗体货号: P32601别名: Zinc finger CCCH domain-containing protein 11A, ZC3H11A, KIAA0663, ZC3HDC11A应用: WB反应种属: Human, Mouse
鄂公网安备42018502007531号

