-
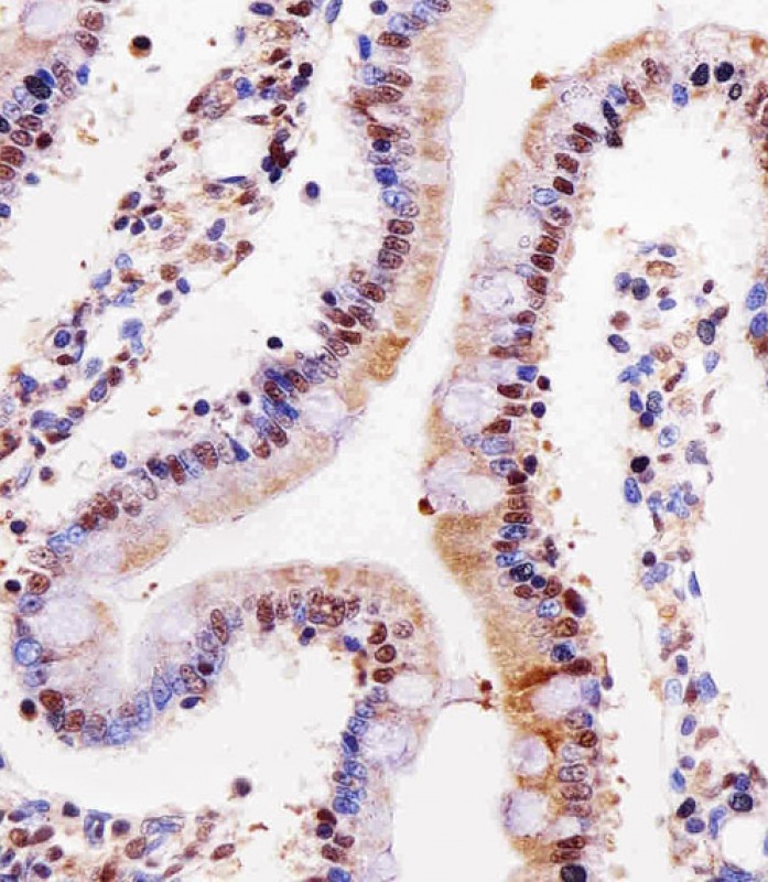
分类: 科研抗体货号: P32542别名: DNA-directed RNA polymerase II subunit RPB3, RNA polymerase II subunit 3, RNA polymerase II subunit B3, DNA-directed RNA polymerase II 33 kDa polypeptide, RPB33, DNA-directed RNA polymerase II subunit C, RPB31, POLR2C应用: WB,IHC,IF反应种属: Human, Mouse
-
分类: 科研抗体货号: P32543别名: Olfactory receptor 51E1, D-GPCR, G-protein coupled receptor 164, Olfactory receptor 52A3, Prostate-overexpressed G protein-coupled receptor, Prostate-specific G protein-coupled receptor 2, OR51E1, GPR164, OR51E1P, OR52A3P, POGR, PSGR2应用: WB反应种属: Human
-
分类: 科研抗体货号: P32558别名: Sonic hedgehog protein A, SHHA, VHH-1, Sonic hedgehog protein A N-product, Sonic hedgehog protein A C-product, shha, shh, vhh1应用: WB反应种属: zebrafish
-
分类: 科研抗体货号: P32541别名: Prolactin receptor, PRL-R, PRLR应用: WB反应种属: Human
-
分类: 科研抗体货号: P32556别名: KH domain-containing, RNA-binding, signal transduction-associated protein 2, Sam68-like mammalian protein 1, SLM-1, hSLM-1, KHDRBS2, SLM1应用: WB反应种属: Human, Mouse, Rat
-
分类: 科研抗体货号: P32540别名: 5'-AMP-activated protein kinase catalytic subunit alpha-1, AMPK subunit alpha-1, Acetyl-CoA carboxylase kinase, ACACA kinase, Hydroxymethylglutaryl-CoA reductase kinase, HMGCR kinase, Tau-protein kinase PRKAA1, Prkaa1, Ampk1应用: WB反应种属: Human, Mouse, Rat
-
分类: 科研抗体货号: P32555别名: Casein kinase II subunit alpha, CK II alpha, Csnk2a1应用: WB反应种属: Human, Mouse, Rat
-
分类: 科研抗体货号: P32539别名: Membrane cofactor protein, TLX, Trophoblast leukocyte common antigen, CD46, CD46, MCP, MIC10应用: WB反应种属: Human
-
分类: 科研抗体货号: P32554别名: Zinc finger protein 560, ZNF560应用: WB反应种属: Human
-
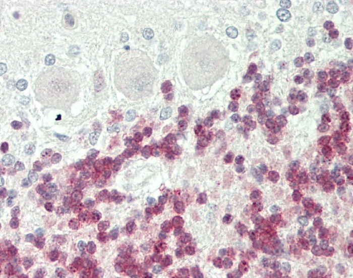
分类: 科研抗体货号: P32538别名: Cyclin-dependent kinase 4, Cell division protein kinase 4, PSK-J3, Cdk4应用: WB,IHC,IF反应种属: Human, Mouse, Rat
鄂公网安备42018502007531号

