-
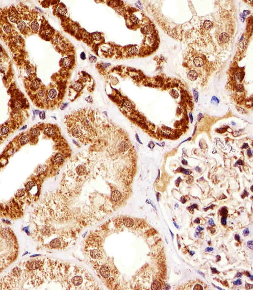
分类: 科研抗体货号: P32498别名: Endothelin-converting enzyme 2, ECE-2, Methyltransferase-like region, 211-, Endothelin-converting enzyme 2 region, ECE2, KIAA0604应用: WB,IHC反应种属: Human, Mouse
-
分类: 科研抗体货号: P32497别名: Homeobox protein HMX3, Homeobox protein H6 family member 3, Homeobox protein Nkx-51, hmx3, nkx-51, nkx5-1应用: WB反应种属: zebrafish
-
分类: 科研抗体货号: P32514别名: RING finger protein 166, RNF166应用: WB,IF反应种属: Human, Mouse, Rat
-
分类: 科研抗体货号: P32495别名: 60S acidic ribosomal protein P0-like, RPLP0P6应用: WB,IHC,IF反应种属: Human
-
分类: 科研抗体货号: P32528别名: Glia maturation factor gamma, GMF-gamma, GMFG应用: WB反应种属: Human
-
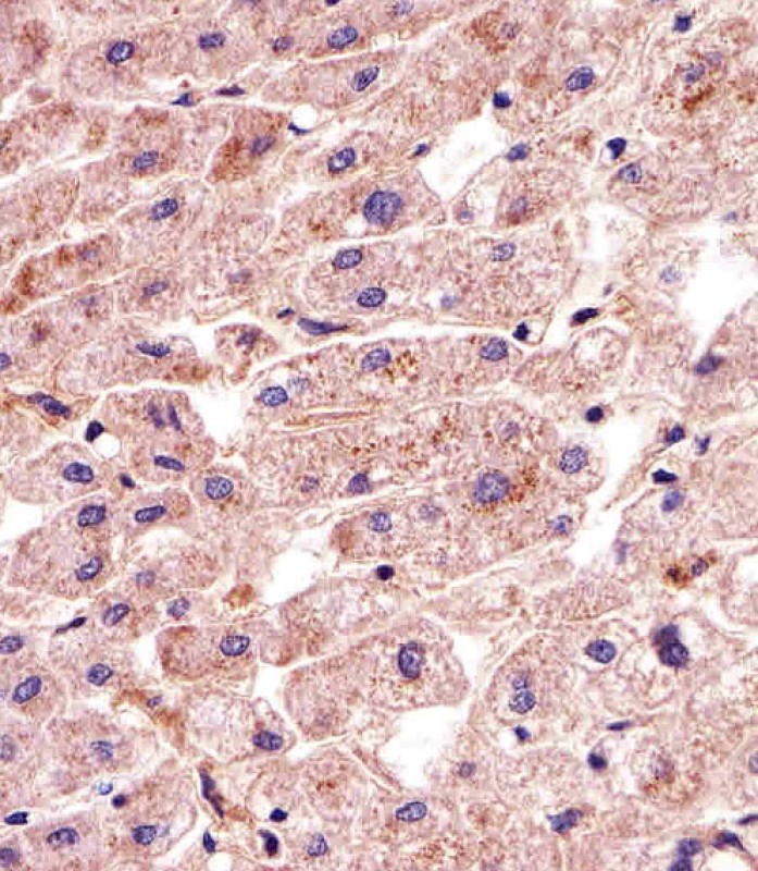
分类: 科研抗体货号: P32513别名: Sjoegren syndrome nuclear autoantigen 1, Nuclear autoantigen of 14 kDa, SSNA1, NA14应用: WB,IHC反应种属: Human, Mouse
-
分类: 科研抗体货号: P32494别名: 60S ribosomal protein L29, Cell surface heparin-binding protein HIP, RPL29应用: WB反应种属: Human
-
分类: 科研抗体货号: P32527别名: Hairy/enhancer-of-split related with YRPW motif protein 2, Protein gridlock, hey2, grl应用: WB反应种属: zebrafish
-
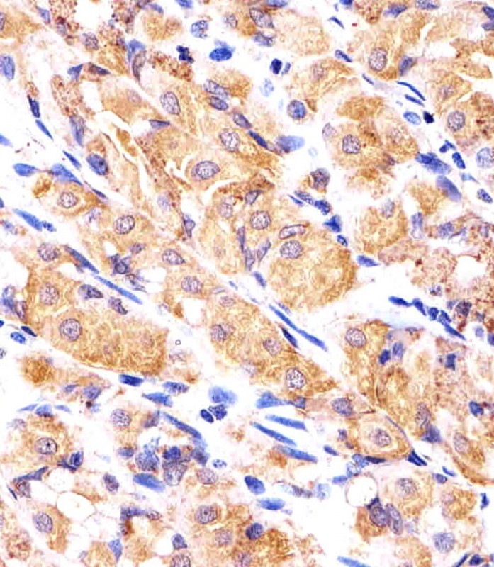
分类: 科研抗体货号: P32512别名: Matrilin-2, MATN2应用: WB,IHC反应种属: Human
-
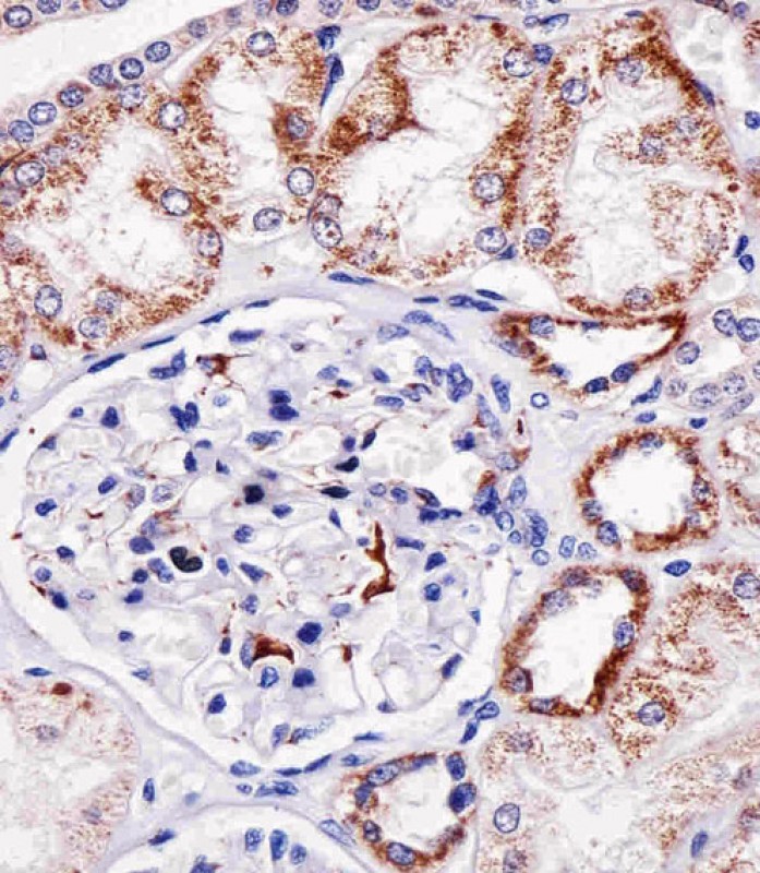
分类: 科研抗体货号: P32493别名: Granulins, Proepithelin, PEPI, Acrogranin, Glycoprotein of 88 Kda, Progranulin, Paragranulin, Granulin-1, Granulin G, Granulin-2, Granulin F, Granulin-3, Granulin B, Granulin-4, Granulin A, Granulin-5, Granulin C, Granulin-6, Granulin D, Granulin-7, Granu应用: WB,IHC反应种属: Human
鄂公网安备42018502007531号

