-
分类: 科研抗体货号: P32487别名: Zinc finger and SCAN domain-containing protein 32, Human cervical cancer suppressor gene 5 protein, HCCS-5, Zinc finger protein 434, ZSCAN32, ZNF434应用: WB,IF反应种属: Human
-
分类: 科研抗体货号: P32505别名: Cyclin-dependent kinase 20, CDK-activating kinase p42, CAK-kinase p42, Cell cycle-related kinase, Cell division protein kinase 20, Cyclin-dependent protein kinase H, Cyclin-kinase-activating kinase p42, CDK20, CCRK, CDCH应用: WB反应种属: Human
-
分类: 科研抗体货号: P32486别名: Semaphorin-6B, Semaphorin-Z, Sema Z, SEMA6B, SEMAN, SEMAZ应用: WB反应种属: Human, Mouse, Rat
-
分类: 科研抗体货号: P32503别名: 40S ribosomal protein S21, RPS21应用: WB反应种属: Human, Mouse, Rat
-
分类: 科研抗体货号: P32485别名: F-box only protein 28, FBXO28, KIAA0483应用: WB反应种属: Human, Mouse
-
分类: 科研抗体货号: P32502别名: CDCA7L;HR1; JPO2; R1; Cell division cycle-associated 7-like protein; Cell division cycle-associated 7-like protein; Protein JPO2; Cell division cycle-associated 7-like protein; Transcription factor RAM2应用: WB反应种属: Human
-
分类: 科研抗体货号: P32484别名: Zinc finger protein Gfi-1b, Growth factor independent protein 1B, Potential regulator of CDKN1A translocated in CML, GFI1B应用: WB反应种属: Human, Mouse
-
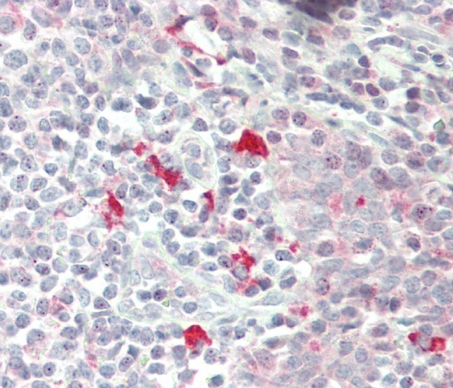
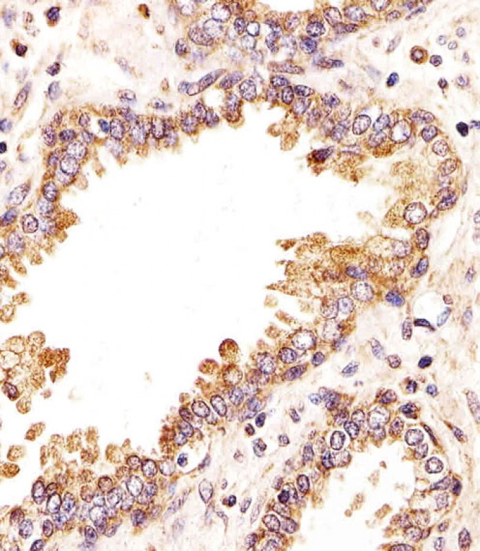
分类: 科研抗体货号: P32483别名: U2 small nuclear ribonucleoprotein auxiliary factor 35 kDa subunit-related protein 2, CCCH type zinc finger, RNA-binding motif and serine/arginine rich protein 2, Renal carcinoma antigen NY-REN-20, U2(RNU2) small nuclear RNA auxiliary factor 1-like 2, U2A应用: WB,IHC反应种属: Human, Mouse, Rat
-
分类: 科研抗体货号: P32501别名: Ciliary neurotrophic factor, CNTF, CNTF应用: WB反应种属: Human
-
分类: 科研抗体货号: P32500别名: Biogenesis of lysosome-related organelles complex 1 subunit 4, BLOC-1 subunit 4, Protein cappuccino homolog, BLOC1S4, CNO应用: WB反应种属: Human
鄂公网安备42018502007531号

