-
分类: 科研抗体货号: P32492别名: CDK5 and ABL1 enzyme substrate 2, Interactor with CDK3 2, Ik3-2, CABLES2, C20orf150应用: WB反应种属: Human, Mouse
-
分类: 科研抗体货号: P32462别名: Inhibitor of nuclear factor kappa-B kinase subunit beta, I-kappa-B-kinase beta, IKK-B, IKK-beta, IkBKB, I-kappa-B kinase 2, IKK2, Nuclear factor NF-kappa-B inhibitor kinase beta, NFKBIKB, IKBKB, IKKB应用: WB反应种属: Human
-
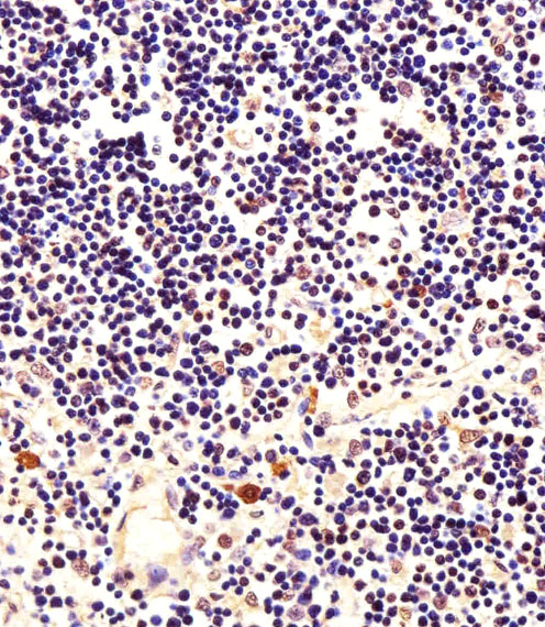
分类: 科研抗体货号: P32491别名: Nucleophosmin, NPM, Nucleolar phosphoprotein B23, Nucleolar protein NO38, Numatrin, NPM1, NPM应用: WB,IHC反应种属: Human
-
分类: 科研抗体货号: P32482别名: Uncharacterized protein C16orf71, C16orf71应用: WB反应种属: Human
-
分类: 科研抗体货号: P32490别名: G-protein coupled receptor 4, G-protein coupled receptor 19, GPR4, GPR19应用: WB反应种属: Human, Mouse, Rat
-
分类: 科研抗体货号: P32481别名: Fructosamine-3-kinase, 271-, FN3K应用: WB反应种属: Human
-
分类: 科研抗体货号: P32489别名: Membrane protein FAM159A, FAM159A应用: WB,IF反应种属: Human, Mouse
-
分类: 科研抗体货号: P32507别名: Phosphatidylinositol 3,5-trisphosphate 3-phosphatase TPTE2, Lipid phosphatase TPIP, TPTE and PTEN homologous inositol lipid phosphatase, TPTE2, TPIP应用: WB反应种属: Human, Mouse
-
分类: 科研抗体货号: P32488别名: Leukocyte immunoglobulin-like receptor subfamily A member 3, CD85 antigen-like family member E, Immunoglobulin-like transcript 6, ILT-6, Leukocyte immunoglobulin-like receptor 4, LIR-4, Monocyte inhibitory receptor HM43/HM31, CD85e, LILRA3, ILT6, LIR4应用: WB反应种属: Human
-
分类: 科研抗体货号: P32506别名: Fatty acid-binding protein, heart, Fatty acid-binding protein 3, Heart-type fatty acid-binding protein, H-FABP, Mammary-derived growth inhibitor, MDGI, Muscle fatty acid-binding protein, M-FABP, FABP3, FABP11, MDGI应用: WB反应种属: Mouse
鄂公网安备42018502007531号

