-
分类: 科研抗体货号: P31563别名: GATA6; Transcription factor GATA-6; GATA-binding factor 6应用: WB反应种属: Human
-
分类: 科研抗体货号: P31547别名: Stanniocalcin-1, STC-1, STC1, STC应用: WB反应种属: Human
-
分类: 科研抗体货号: P31579别名: Nuclear migration protein nudC, Nuclear distribution protein C homolog, NUDC应用: WB反应种属: Human
-
分类: 科研抗体货号: P31561别名: Calcitonin, Calcitonin, Katacalcin, Calcitonin carboxyl-terminal peptide, CCP, PDN-21, CALCA, CALC1应用: WB反应种属: Human
-
分类: 科研抗体货号: P31546别名: Zinc finger protein 398, Zinc finger DNA-binding protein p52/p71, ZNF398, KIAA1339, ZER6应用: WB反应种属: Human
-
分类: 科研抗体货号: P31578别名: Nuclear receptor subfamily 4 group A member 3, Mitogen-induced nuclear orphan receptor, Neuron-derived orphan receptor 1, Nuclear hormone receptor NOR-1, NR4A3, CHN, CSMF, MINOR, NOR1, TEC应用: WB反应种属: Human
-
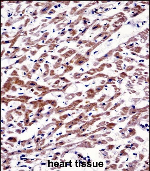
分类: 科研抗体货号: P31560别名: Putative helicase MOV-10, Moloney leukemia virus 10 protein, MOV10, KIAA1631应用: WB,IHC反应种属: Human, Mouse
-
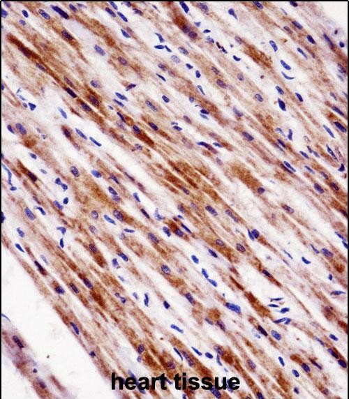
分类: 科研抗体货号: P31545别名: Nuclear receptor subfamily 1 group D member 2, Orphan nuclear hormone receptor BD73, Rev-erb alpha-related receptor, RVR, Rev-erb-beta, V-erbA-related protein 1-related, EAR-1R, NR1D2应用: WB,IHC反应种属: Human, Mouse, Rat
-
分类: 科研抗体货号: P31577别名: Endonuclease 8-like 2, 322-, DNA glycosylase/AP lyase Neil2, DNA-(apurinic or apyrimidinic site) lyase Neil2, Endonuclease VIII-like 2, Nei homolog 2, NEH2, Nei-like protein 2, NEIL2应用: WB反应种属: Human
-
分类: 科研抗体货号: P31559别名: Glycine receptor subunit beta, Glycine receptor 58 kDa subunit, GLRB应用: WB反应种属: Human
鄂公网安备42018502007531号

