-
分类: 科研抗体货号: P31556别名: Urotensin-2 receptor, UR-2-R, G-protein coupled receptor 14, Urotensin II receptor, UR-II-R, UTS2R, GPR14应用: WB反应种属: Human
-
分类: 科研抗体货号: P31567别名: Serine/threonine-protein phosphatase 2A 56 kDa regulatory subunit alpha isoform, PP2A B subunit isoform B'-alpha, PP2A B subunit isoform B56-alpha, PP2A B subunit isoform PR61-alpha, PR61alpha, PP2A B subunit isoform R5-alpha, PPP2R5A应用: WB反应种属: Mouse
-
分类: 科研抗体货号: P31550别名: Netrin-3, Netrin-2-like protein, NTN3, NTN2L应用: WB反应种属: Human
-
分类: 科研抗体货号: P31555别名: Plakophilin-3, PKP3应用: WB反应种属: Human
-
分类: 科研抗体货号: P31565别名: Receptor tyrosine-protein kinase erbB-2, Proto-oncogene Neu, Proto-oncogene c-ErbB-2, p185erbB2, CD340, Erbb2, Kiaa3023, Neu应用: WB反应种属: Mouse
-
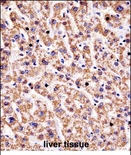
分类: 科研抗体货号: P31549别名: Hyaluronidase-1, Hyal-1, Hyaluronoglucosaminidase-1, Lung carcinoma protein 1, LuCa-1, HYAL1, LUCA1应用: WB,IHC反应种属: Human
-
分类: 科研抗体货号: P31581别名: Chaperone activity of bc1 complex-like, mitochondrial, Chaperone-ABC1-like, 2711-, aarF domain-containing protein kinase 3, Adck3, Cabc1应用: WB反应种属: Mouse
-
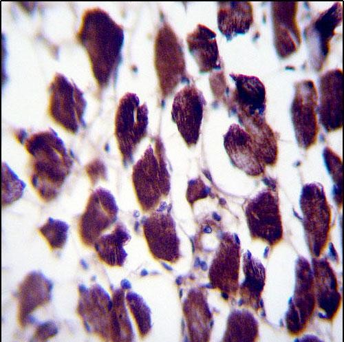
分类: 科研抗体货号: P31564别名: DNA polymerase subunit gamma-1, Mitochondrial DNA polymerase catalytic subunit, PolG-alpha, POLG, MDP1, POLG1, POLGA应用: WB,IHC,IF,FCM反应种属: Human, Mouse, Rat
-
分类: 科研抗体货号: P31548别名: BEN domain-containing protein 4, Coiled-coil domain-containing protein 4, BEND4, CCDC4应用: WB,FCM反应种属: Human
-
分类: 科研抗体货号: P31580别名: Transient receptor potential cation channel subfamily M member 4, hTRPM4, Calcium-activated non-selective cation channel 1, Long transient receptor potential channel 4, LTrpC-4, LTrpC4, Melastatin-4, TRPM4, LTRPC4应用: WB反应种属: Human
鄂公网安备42018502007531号

