-
分类: 科研抗体货号: P31517别名: ER membrane protein complex subunit 4, Cell proliferation-inducing gene 17 protein, Transmembrane protein 85, EMC4, TMEM85应用: WB,IHC反应种属: Human
-
分类: 科研抗体货号: P31535别名: Hematological and neurological expressed 1 protein, Androgen-regulated protein 2, Hematological and neurological expressed 1 protein, N-terminally processed, HN1, ARM2应用: WB,IF,FCM反应种属: Human
-
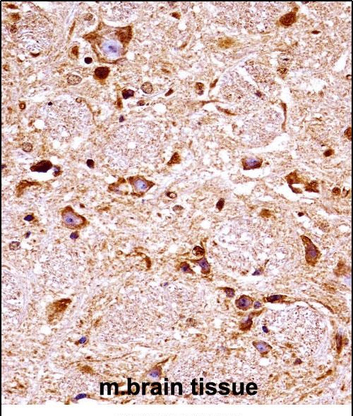
分类: 科研抗体货号: P31516别名: Eukaryotic translation initiation factor 2-alpha kinase 4, GCN2-like protein, mGCN2, Eif2ak4, Gcn2, Kiaa1338应用: WB,IHC反应种属: Human, Mouse
-
分类: 科研抗体货号: P31534别名: Alpha-2-macroglobulin, Alpha-2-M, C3 and PZP-like alpha-2-macroglobulin domain-containing protein 5, A2M, CPAMD5应用: WB反应种属: Human
-
分类: 科研抗体货号: P31515别名: Serine/threonine-protein kinase PLK3, Cytokine-inducible serine/threonine-protein kinase, FGF-inducible kinase, Polo-like kinase 3, PLK-3, Plk3, Cnk, Fnk应用: WB,FCM反应种属: Human, Mouse, Rat
-
分类: 科研抗体货号: P31532别名: Calcium/calmodulin-dependent protein kinase type II subunit alpha, CaM kinase II subunit alpha, CaMK-II subunit alpha, Camk2a应用: WB反应种属: Mouse
-
分类: 科研抗体货号: P31542别名: Tyrosine-protein kinase FRK, Beta-cell Src-homology tyrosine kinase, BSK, FYN-related kinase, Intestine tyrosine kinase, Frk, Bsk, Iyk应用: WB反应种属: Mouse
-
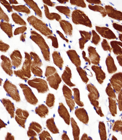
分类: 科研抗体货号: P31531别名: Actin, alpha skeletal muscle, Alpha-actin-1, ACTA1, ACTA应用: WB,IHC,IF,FCM反应种属: Human, Mouse, Rat
-
分类: 科研抗体货号: P31541别名: Fibroblast growth factor receptor 3, FGFR-3, Heparin-binding growth factor receptor, CD333, Fgfr3, Mfr3, Sam3应用: WB,IHC反应种属: Human, Mouse
-
分类: 科研抗体货号: P31530别名: Tyrosine-protein kinase Tec, Tec应用: WB反应种属: Mouse
鄂公网安备42018502007531号

