-
分类: 科研抗体货号: P31512别名: Transformer-2 protein homolog beta, TRA-2 beta, TRA2-beta, hTRA2-beta, Splicing factor, arginine/serine-rich 10, Transformer-2 protein homolog B, TRA2B, SFRS10应用: WB,IHC反应种属: Human
-
分类: 科研抗体货号: P31495别名: Zinc finger protein 395, HD-regulating factor 2, HDRF-2, Huntington disease gene regulatory region-binding protein 2, HD gene regulatory region-binding protein 2, HDBP-2, Papillomavirus regulatory factor 1, PRF-1, Papillomavirus-binding factor, ZNF395, HD应用: WB反应种属: Human
-
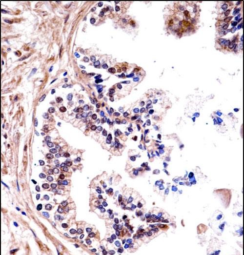
分类: 科研抗体货号: P31511别名: Fanconi anemia group G protein, Protein FACG, DNA repair protein XRCC9, FANCG, XRCC9应用: WB,IHC反应种属: Human
-
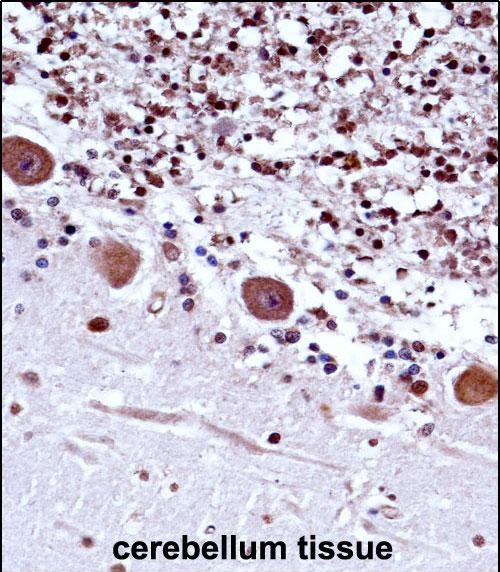
分类: 科研抗体货号: P31528别名: Septin-5, Cell division control-related protein 1, CDCrel-1, Peanut-like protein 1, SEPT5, PNUTL1应用: WB,IHC反应种属: Human
-
分类: 科研抗体货号: P31494别名: E3 ubiquitin-protein ligase RING1, 632-, Polycomb complex protein RING1, RING finger protein 1, Really interesting new gene 1 protein, RING1, RNF1应用: WB反应种属: Human
-
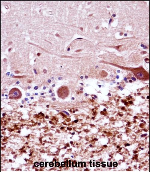
分类: 科研抗体货号: P31527别名: Oxidoreductase HTATIP2, 111-, 30 kDa HIV-1 TAT-interacting protein, HIV-1 TAT-interactive protein 2, HTATIP2应用: WB,IHC反应种属: Human
-
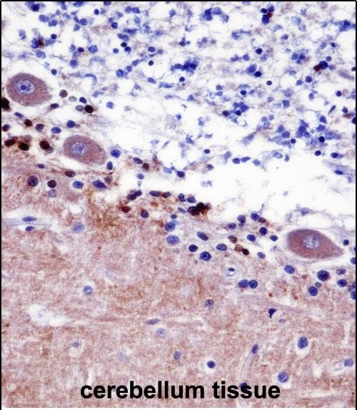
分类: 科研抗体货号: P31510别名: Transmembrane protease serine 13, 3421-, Membrane-type mosaic serine protease, Mosaic serine protease, TMPRSS13, MSP, TMPRSS11应用: WB,IHC反应种属: Human
-
分类: 科研抗体货号: P31493别名: Kallikrein-10, 3421-, Normal epithelial cell-specific 1, Protease serine-like 1, KLK10, NES1, PRSSL1应用: WB反应种属: Human
-
分类: 科研抗体货号: P31524别名: Potassium voltage-gated channel subfamily A member 2, NGK1, Voltage-gated K(+) channel HuKIV, Voltage-gated potassium channel HBK5, Voltage-gated potassium channel subunit Kv12, KCNA2应用: WB,IHC反应种属: Human
-
分类: 科研抗体货号: P31509别名: Carnitine O-palmitoyltransferase 1, liver isoform, CPT1-L, Carnitine O-palmitoyltransferase I, liver isoform, CPT I, CPTI-L, Carnitine palmitoyltransferase 1A, CPT1A, CPT1应用: WB反应种属: Human
鄂公网安备42018502007531号

