-
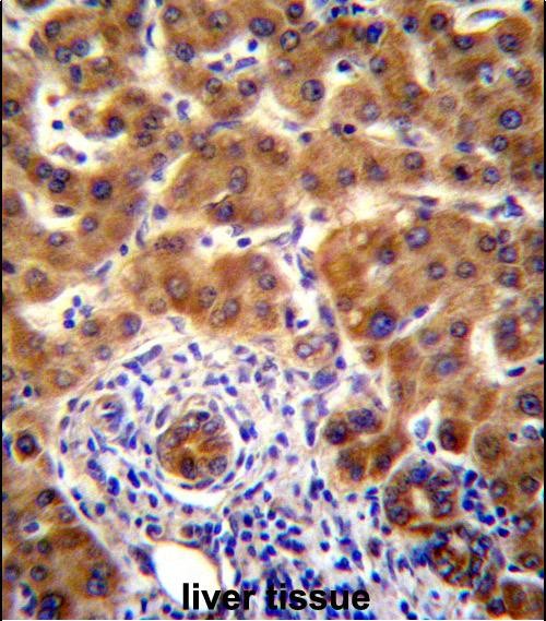
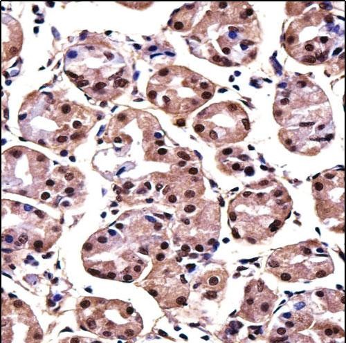
分类: 科研抗体货号: P31456别名: Protein mago nashi homolog, MAGOH, MAGOHA应用: WB,IHC反应种属: Human
-
分类: 科研抗体货号: P31440别名: MAPK/MAK/MRK overlapping kinase, MOK protein kinase, Serine/threonine kinase 30, Mok, Rage, Stk30应用: WB反应种属: Human, Mouse
-
分类: 科研抗体货号: P31450别名: Cadherin-related family member 5, Mu-protocadherin, Mucin and cadherin-like protein, CDHR5, MUCDHL, MUPCDH应用: WB反应种属: Human
-
分类: 科研抗体货号: P31455别名: Splicing factor 1, Mammalian branch point-binding protein, BBP, mBBP, Transcription factor ZFM1, Zinc finger gene in MEN1 locus, Zinc finger protein 162, SF1, ZFM1, ZNF162应用: WB反应种属: Human
-
分类: 科研抗体货号: P31439别名: Homeobox protein Hox-C9, Homeobox protein Hox-32, Hoxc9, Hox-32, Hoxc-9应用: WB反应种属: Human, Mouse
-
分类: 科研抗体货号: P31449别名: Nuclear receptor-binding protein 2, Nrbp2 {ECO:0000312|EMBL:AAH124371, ECO:0000312|MGI:MGI:2385017}应用: WB,IHC反应种属: Human
-
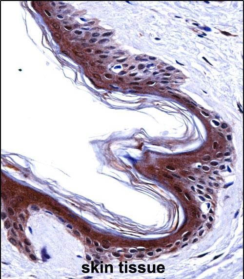
分类: 科研抗体货号: P31454别名: SWI/SNF-related matrix-associated actin-dependent regulator of chromatin subfamily E member 1, BRG1-associated factor 57, BAF57, SMARCE1, BAF57应用: WB,IHC反应种属: Human
-
分类: 科研抗体货号: P31438别名: Serine/threonine-protein kinase greatwall, GW, GWL, Microtubule-associated serine/threonine-protein kinase-like, MAST-L, Mastl, Gw, Gwl应用: WB反应种属: Human, Mouse
-
分类: 科研抗体货号: P31448别名: HIG1 domain family member 2A, mitochondrial, RCF1 homolog B, RCF1b, HIGD2A应用: WB反应种属: Human
-
分类: 科研抗体货号: P31453别名: Transcription initiation factor IIB, General transcription factor TFIIB, S300-II, GTF2B, TF2B, TFIIB应用: WB反应种属: Human, Mouse
鄂公网安备42018502007531号

