-
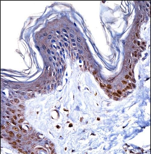
分类: 科研抗体货号: P31420别名: E3 ubiquitin-protein ligase RNF19A, 632-, Double ring-finger protein, Dorfin, RING finger protein 19A, p38, RNF19A, RNF19应用: WB,IHC反应种属: Human
-
分类: 科研抗体货号: P31435别名: OTU domain-containing protein 7B, Cellular zinc finger anti-NF-kappa-B protein, Zinc finger A20 domain-containing protein 1, Zinc finger protein Cezanne, OTUD7B, ZA20D1应用: WB,IHC反应种属: Human
-
分类: 科研抗体货号: P31419别名: Proto-oncogene Mas, MAS1, MAS应用: WB反应种属: Human
-
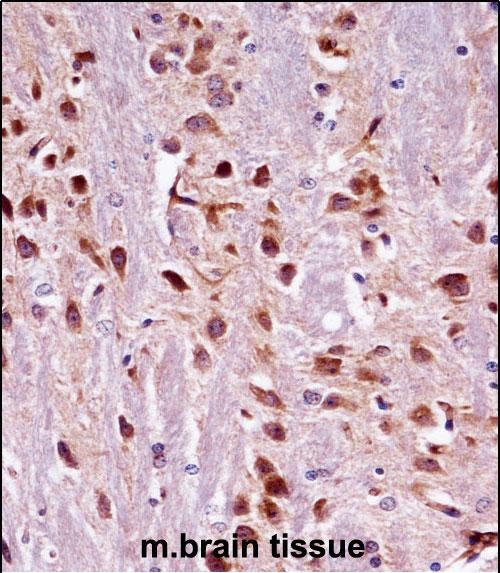
分类: 科研抗体货号: P31434别名: Protein kinase C alpha type, PKC-A, PKC-alpha, Prkca, Pkca应用: WB,IHC,IF反应种属: Human, Mouse
-
分类: 科研抗体货号: P31418别名: Interleukin-27 subunit alpha, IL-27 subunit alpha, IL-27-A, IL27-A, Interleukin-30, p28, IL27, IL27A, IL30应用: WB反应种属: Mouse
-
分类: 科研抗体货号: P31433别名: Inactive serine/threonine-protein kinase PLK5, Polo-like kinase 5, PLK-5, Plk5 {ECO:0000250|UniProtKB:Q64702}应用: WB反应种属: Mouse
-
分类: 科研抗体货号: P31417别名: Neuromedin-K receptor, NKR, NK-3 receptor, NK-3R, Neurokinin B receptor, Tachykinin receptor 3, TACR3, NK3R, TAC3R应用: WB反应种属: Human
-
分类: 科研抗体货号: P31432别名: [Pyruvate dehydrogenase (acetyl-transferring)] kinase isozyme 3, mitochondrial, Pyruvate dehydrogenase kinase isoform 3, Pdk3应用: WB,IHC反应种属: Mouse
-
分类: 科研抗体货号: P31416别名: Non-histone chromosomal protein HMG-14, High mobility group nucleosome-binding domain-containing protein 1, HMGN1, HMG14应用: WB,IHC反应种属: Human
-
分类: 科研抗体货号: P31431别名: Serine/threonine-protein kinase Nek4, Never in mitosis A-related kinase 4, NimA-related protein kinase 4, Serine/threonine-protein kinase 2, Nek4, Stk2应用: WB反应种属: Human, Mouse
鄂公网安备42018502007531号

