-
分类: 科研抗体货号: P31380别名: UDP-N-acetylglucosamine--dolichyl-phosphate N-acetylglucosaminephosphotransferase, GlcNAc-1-P transferase, G1PT, GPT, N-acetylglucosamine-1-phosphate transferase, DPAGT1, DPAGT2应用: WB反应种属: Human, Mouse
-
分类: 科研抗体货号: P31379别名: Protein FAM198B, Expressed in nerve and epithelium during development, FAM198B, C4orf18, ENED应用: WB反应种属: Human
-
分类: 科研抗体货号: P31393别名: Serine/threonine-protein kinase 26, Stk26 {ECO:0000312|MGI:MGI:1917665}应用: WB反应种属: Human, Mouse
-
分类: 科研抗体货号: P31377别名: Zinc finger protein 154, ZNF154, KIAA2003应用: WB反应种属: Human
-
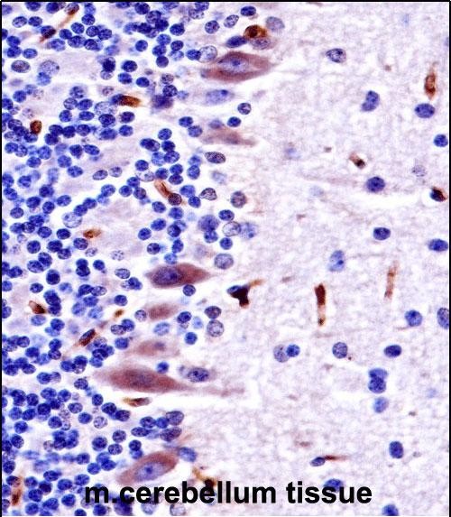
分类: 科研抗体货号: P31410别名: PX domain-containing protein kinase-like protein, Modulator of Na,K-ATPase, MONaKA, Pxk {ECO:0000312|MGI:MGI:1289230}应用: WB,IHC反应种属: Human, Mouse
-
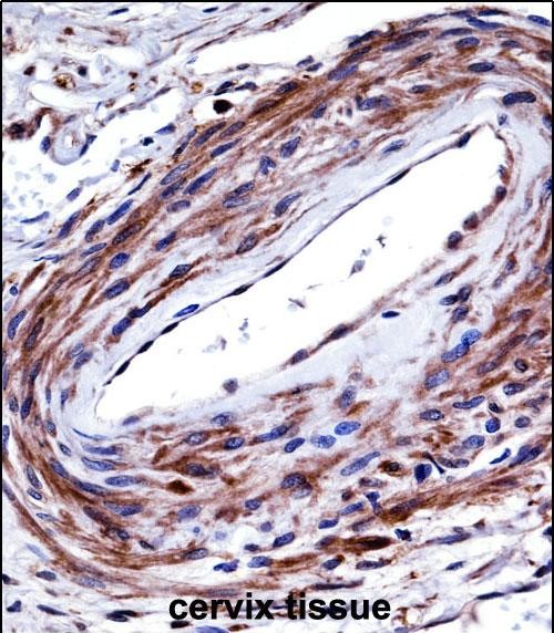
分类: 科研抗体货号: P31392别名: P2X purinoceptor 5, P2X5, ATP receptor, Purinergic receptor, P2RX5, P2X5应用: WB,IHC反应种属: Human
-
分类: 科研抗体货号: P31376别名: Vasohibin-2, Vasohibin-like protein, VASH2, VASHL应用: WB,FCM反应种属: Human, Mouse
-
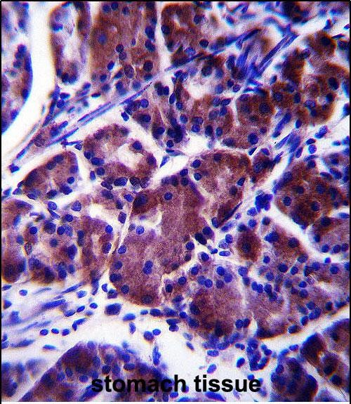
分类: 科研抗体货号: P31409别名: Mitogen-activated protein kinase kinase kinase MLK4, Mixed lineage kinase 4, Mlk4, Kiaa1804应用: WB,IHC反应种属: Human, Mouse
-
分类: 科研抗体货号: P31391别名: Disintegrin and metalloproteinase domain-containing protein 8, ADAM 8, 3424-, Cell surface antigen MS2, CD156a, ADAM8, MS2应用: WB反应种属: Human
-
分类: 科研抗体货号: P31375别名: Lysophospholipase-like protein 1, 312-, LYPLAL1应用: WB,IHC,FCM反应种属: Human, Mouse
鄂公网安备42018502007531号

