-
分类: 科研抗体货号: P31385别名: NACHT, LRR and PYD domains-containing protein 12, Monarch-1, PYRIN-containing APAF1-like protein 7, Regulated by nitric oxide, NLRP12, NALP12, PYPAF7, RNO应用: WB,IHC反应种属: Human
-
分类: 科研抗体货号: P31368别名: LIM/homeobox protein Lhx2, Homeobox protein LH-2, LIM homeobox protein 2, LHX2, LH2应用: WB反应种属: Human
-
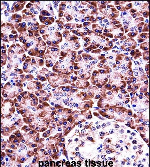
分类: 科研抗体货号: P31384别名: Integrin beta-5, ITGB5应用: WB,IHC反应种属: Human
-
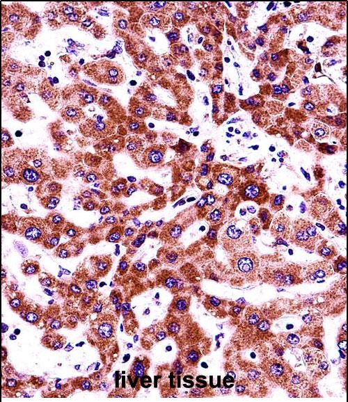
分类: 科研抗体货号: P31367别名: Serpin H1, 47 kDa heat shock protein, Collagen-binding protein, Colligin, GP46, Serpinh1, Cbp1, Hsp47应用: WB,IHC反应种属: Human, Mouse
-
分类: 科研抗体货号: P31383别名: Pulmonary surfactant-associated protein D, PSP-D, SP-D, Collectin-7, Lung surfactant protein D, SFTPD, COLEC7, PSPD, SFTP4应用: WB反应种属: Human
-
分类: 科研抗体货号: P31366别名: Tetratricopeptide repeat protein 33, TPR repeat protein 33, Osmosis-responsive factor, TTC33应用: WB反应种属: Human, Mouse
-
分类: 科研抗体货号: P31382别名: Nucleolar complex protein 3 homolog, NOC3 protein homolog, Factor for adipocyte differentiation 24, NOC3-like protein, Nucleolar complex-associated protein 3-like protein, NOC3L, AD24, C10orf117, FAD24应用: WB反应种属: Human
-
分类: 科研抗体货号: P31365别名: PAB-dependent poly(A)-specific ribonuclease subunit PAN3 {ECO:0000255|HAMAP-Rule:MF_03181}, PAB1P-dependent poly(A)-nuclease {ECO:0000255|HAMAP-Rule:MF_03181}, PAN deadenylation complex subunit 3 {ECO:0000255|HAMAP-Rule:MF_03181}, Pan3应用: WB反应种属: Human, Mouse
-
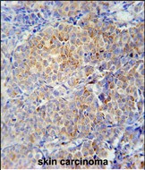
分类: 科研抗体货号: P31381别名: Patatin-like phospholipase domain-containing protein 4, Protein GS2, PNPLA4, DXS1283E, GS2应用: WB,IHC反应种属: Human
-
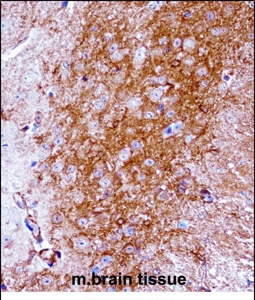
分类: 科研抗体货号: P31364别名: BDNF/NT-3 growth factors receptor, GP145-TrkB/GP95-TrkB, Trk-B, Neurotrophic tyrosine kinase receptor type 2, TrkB tyrosine kinase, Ntrk2, Trkb应用: WB,IHC反应种属: Mouse
鄂公网安备42018502007531号

