-
分类: 科研抗体货号: P31347别名: Alpha-1,6-mannosylglycoprotein 6-beta-N-acetylglucosaminyltransferase A, Alpha-mannoside beta-1,6-N-acetylglucosaminyltransferase, GlcNAc-T V, GNT-V, Mannoside acetylglucosaminyltransferase 5, N-acetylglucosaminyl-transferase V, MGAT5, GGNT5应用: WB,FCM反应种属: Human, Mouse, Rat
-
分类: 科研抗体货号: P31363别名: Serine/threonine-protein kinase NIM1, NIM1 serine/threonine-protein kinase, Nim1k, Nim1应用: WB反应种属: Human, Mouse
-
分类: 科研抗体货号: P31348别名: Lysosomal-associated transmembrane protein 4A, Golgi 4-transmembrane-spanning transporter MTP, LAPTM4A, KIAA0108, LAPTM4, MBNT, MTRP应用: WB反应种属: Mouse
-
分类: 科研抗体货号: P31346别名: Vacuolar protein sorting-associated protein 4B, Cell migration-inducing gene 1 protein, Suppressor of K(+) transport growth defect 1, Protein SKD1, VPS4B, SKD1, VPS42应用: WB反应种属: Human
-
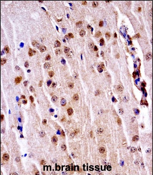
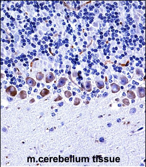
分类: 科研抗体货号: P31362别名: Serine/threonine-protein kinase Nek3, Never in mitosis A-related kinase 3, NimA-related protein kinase 3, Nek3应用: WB,IHC反应种属: Human, Mouse
-
分类: 科研抗体货号: P31372别名: Translin-associated protein X, Translin-associated factor X, TSNAX, TRAX应用: WB,IHC反应种属: Human
-
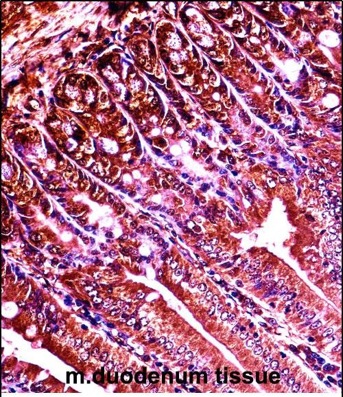
分类: 科研抗体货号: P31361别名: Ephrin type-A receptor 4, Tyrosine-protein kinase receptor MPK-3, Tyrosine-protein kinase receptor SEK-1, Epha4, Sek, Sek1应用: WB,IHC反应种属: Human, Mouse
-
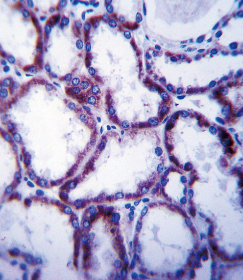
分类: 科研抗体货号: P31371别名: Solute carrier family 22 member 1, Organic cation transporter 1, hOCT1, SLC22A1, OCT1应用: WB,IHC反应种属: Human
-
分类: 科研抗体货号: P31360别名: Tyrosine-protein kinase ABL1, Abelson murine leukemia viral oncogene homolog 1, Abelson tyrosine-protein kinase 1, Proto-oncogene c-Abl, p150, Abl1, Abl应用: WB,IHC反应种属: Mouse
-
分类: 科研抗体货号: P31369别名: Gelsolin, AGEL, Actin-depolymerizing factor, ADF, Brevin, GSN应用: WB反应种属: Human
鄂公网安备42018502007531号

