-
分类: 科研抗体货号: P31235别名: Poly(A) polymerase gamma, PAP-gamma, Neo-poly(A) polymerase, Neo-PAP, Polynucleotide adenylyltransferase gamma, SRP RNA 3'-adenylating enzyme, PAPOLG, PAP2, PAPG应用: WB反应种属: Human
-
分类: 科研抗体货号: P31219别名: Adenylosuccinate synthetase isozyme 2 {ECO:0000255|HAMAP-Rule:MF_03127}, AMPSase 2 {ECO:0000255|HAMAP-Rule:MF_03127}, AdSS 2 {ECO:0000255|HAMAP-Rule:MF_03127}, 6344 {ECO:0000255|HAMAP-Rule:MF_03127}, Adenylosuccinate synthetase, acidic isozyme {ECO:000025应用: WB反应种属: Human
-
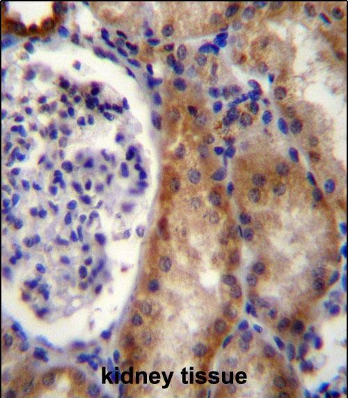
分类: 科研抗体货号: P31250别名: Rhabdoid tumor deletion region protein 1, RTDR1应用: WB,IHC反应种属: Human
-
分类: 科研抗体货号: P31234别名: Heme-binding protein 2, Placental protein 23, PP23, Protein SOUL, HEBP2, C6orf34, SOUL应用: WB反应种属: Human
-
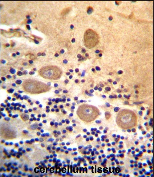
分类: 科研抗体货号: P31218别名: Translation initiation factor eIF-2B subunit epsilon, eIF-2B GDP-GTP exchange factor subunit epsilon, EIF2B5, EIF2BE应用: WB,IHC反应种属: Human, Mouse
-
分类: 科研抗体货号: P31249别名: Zinc finger protein 555, ZNF555应用: WB反应种属: Human
-
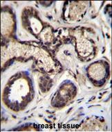
分类: 科研抗体货号: P31233别名: Transmembrane protein 52B, TMEM52B, C12orf59应用: WB,IHC反应种属: Human
-
分类: 科研抗体货号: P31217别名: Potassium voltage-gated channel subfamily V member 2, Voltage-gated potassium channel subunit Kv82, KCNV2应用: WB,IHC反应种属: Human
-
分类: 科研抗体货号: P31248别名: Synaptonemal complex protein SC65, Leprecan-like protein 4, Nucleolar autoantigen No55, LEPREL4, NOL55, SC65应用: WB反应种属: Human
-
分类: 科研抗体货号: P31232别名: Leucine zipper protein 2, LUZP2应用: WB反应种属: Human
鄂公网安备42018502007531号

