-
分类: 科研抗体货号: P31099别名: Protein FAM83D, Spindle protein CHICA, FAM83D, C20orf129应用: WB反应种属: Human
-
分类: 科研抗体货号: P31114别名: LIX1-like protein, LIX1L应用: WB反应种属: Human, Mouse, Rat
-
分类: 科研抗体货号: P31098别名: Proline-serine-threonine phosphatase-interacting protein 1, PEST phosphatase-interacting protein 1, CD2-binding protein 1, H-PIP, PSTPIP1, CD2BP1应用: WB,FCM反应种属: Human
-
分类: 科研抗体货号: P31113别名: Serine protease inhibitor Kazal-type 8, SPINK8应用: WB,FCM反应种属: Human
-
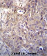
分类: 科研抗体货号: P31097别名: DnaJ homolog subfamily B member 6, HHDJ1, Heat shock protein J2, HSJ-2, MRJ, MSJ-1, DNAJB6, HSJ2, MRJ, MSJ1应用: WB,IHC,FCM反应种属: Human
-
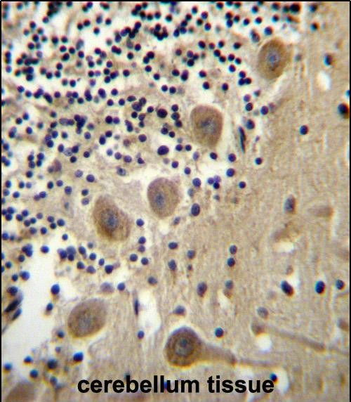
分类: 科研抗体货号: P31112别名: Putative ubiquitin-conjugating enzyme E2 N-like, Epididymis tissue protein Li 174, UBE2NL应用: WB,IHC反应种属: Human
-
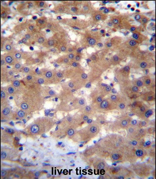
分类: 科研抗体货号: P31095别名: Nucleoredoxin, NXN, NRX应用: WB,IHC反应种属: Mouse
-
分类: 科研抗体货号: P31111别名: BEN domain-containing protein 6, BEND6, C6orf65应用: WB,IHC反应种属: Human
-
分类: 科研抗体货号: P31094别名: Homeodomain-interacting protein kinase 1, Nuclear body-associated kinase 2, HIPK1, KIAA0630, MYAK, NBAK2应用: WB,IHC反应种属: Human
-
分类: 科研抗体货号: P31110别名: F-box only protein 41, FBXO41, FBX41, KIAA1940应用: WB反应种属: Mouse
鄂公网安备42018502007531号

