-
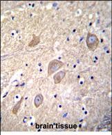
分类: 科研抗体货号: P31029别名: Protocadherin alpha-8, PCDH-alpha-8, PCDHA8应用: WB,IHC,IF反应种属: Human
-
分类: 科研抗体货号: P31030别名: Homeobox protein Hox-A6, Homeobox protein Hox-1B, HOXA6, HOX1B应用: WB反应种属: Human, Mouse
-
分类: 科研抗体货号: P31044别名: Putative beta-actin-like protein 3, Kappa-actin, POTE ankyrin domain family member K, POTEKP, ACTBL3应用: WB反应种属: Human
-
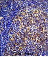
分类: 科研抗体货号: P31028别名: Protocadherin gamma-A8, PCDH-gamma-A8, PCDHGA8, KIAA0327应用: WB,IHC,IF反应种属: Human
-
分类: 科研抗体货号: P31043别名: Olfactory receptor 5AS1, Olfactory receptor OR11-168, OR5AS1应用: WB反应种属: Human
-
分类: 科研抗体货号: P31052别名: Visinin-like protein 1, VILIP, VLP-1, Hippocalcin-like protein 3, HLP3, VSNL1, VISL1应用: WB,IHC,FCM反应种属: Human, Mouse
-
分类: 科研抗体货号: P31042别名: PRAME family member 12, PRAMEF12应用: WB反应种属: Human
-
分类: 科研抗体货号: P31051别名: High mobility group protein B1, High mobility group protein 1, HMG-1, HMGB1, HMG1应用: WB,FCM反应种属: Human
-
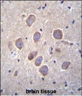
分类: 科研抗体货号: P31041别名: E3 ubiquitin-protein ligase TRIM69, 632-, RFP-like domain-containing protein trimless, RING finger protein 36, Tripartite motif-containing protein 69, TRIM69, RNF36应用: WB,IHC反应种属: Mouse
-
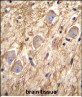
分类: 科研抗体货号: P31050别名: Neuronal acetylcholine receptor subunit alpha-10, Nicotinic acetylcholine receptor subunit alpha-10, NACHR alpha-10, CHRNA10, NACHRA10应用: WB,IHC反应种属: Human
鄂公网安备42018502007531号

