-
分类: 科研抗体货号: P31012别名: Lipase member K, 311-, Lipase-like abhydrolase domain-containing protein 2, LIPK, LIPL2应用: WB反应种属: Human
-
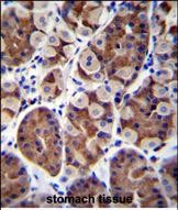
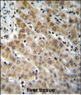
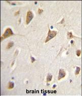
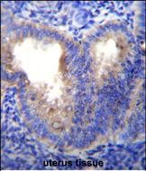
分类: 科研抗体货号: P31011别名: Protein shisa-6 homolog, SHISA6应用: WB,IHC反应种属: Human
-
分类: 科研抗体货号: P31025别名: Eukaryotic translation initiation factor 5A-1-like, eIF-5A-1-like, eIF-5A1-like, Eukaryotic initiation factor 5A isoform 1-like, EIF5AL1应用: WB,IHC,IF反应种属: Human
-
分类: 科研抗体货号: P31010别名: Olfactory receptor 2M7, Olfactory receptor OR1-58, OR2M7应用: WB反应种属: Human
-
分类: 科研抗体货号: P31040别名: Ras and Rab interactor-like protein, RINL应用: WB,FCM反应种属: Human
-
分类: 科研抗体货号: P31024别名: Putative N-acetylated-alpha-linked acidic dipeptidase, NAALADase, 34--, Cell growth-inhibiting gene 26 protein, Prostate-specific membrane antigen-like protein, Putative folate hydrolase 1B, FOLH1B, PSMAL应用: WB,FCM反应种属: Human
-
分类: 科研抗体货号: P31009别名: SH2 domain-containing protein 4B, SH2D4B应用: WB,IHC,IF反应种属: Human
-
分类: 科研抗体货号: P31039别名: Zinc finger MYND domain-containing protein 10, Protein BLu, ZMYND10, BLU应用: WB,IHC,FCM反应种属: Human
-
分类: 科研抗体货号: P31023别名: Endothelin-1, Preproendothelin-1, PPET1, Endothelin-1, ET-1, Big endothelin-1, EDN1应用: WB,IHC,IF反应种属: Human
鄂公网安备42018502007531号

