-
分类: 科研抗体货号: P30992别名: CUGBP Elav-like family member 6, CELF-6, Bruno-like protein 6, CUG-BP- and ETR-3-like factor 6, RNA-binding protein BRUNOL-6, CELF6, BRUNOL6应用: WB,IHC反应种属: Human, Mouse
-
分类: 科研抗体货号: P31002别名: Spermatogenesis-associated serine-rich protein 1, SPATS1应用: WB反应种属: Human
-
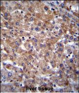
分类: 科研抗体货号: P30991别名: Transmembrane protein 100, TMEM100应用: WB,IHC,FCM反应种属: Human, Mouse, Rat
-
分类: 科研抗体货号: P31001别名: Isoamyl acetate-hydrolyzing esterase 1 homolog, 31--, IAH1应用: WB反应种属: Mouse
-
分类: 科研抗体货号: P31015别名: Tubulin beta-8 chain-like protein LOC260334, TBB8L应用: WB反应种属: Human
-
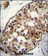
分类: 科研抗体货号: P31000别名: Nuclear pore complex protein Nup160, 160 kDa nucleoporin, Nucleoporin Nup160, NUP160, KIAA0197, NUP120应用: WB,IHC反应种属: Mouse
-
分类: 科研抗体货号: P31014别名: Transmembrane protease serine 11E, 3421-, Serine protease DESC1, Transmembrane protease serine 11E2, Transmembrane protease serine 11E non-catalytic chain, Transmembrane protease serine 11E catalytic chain, TMPRSS11E, DESC1, TMPRSS11E2应用: WB反应种属: Human
-
分类: 科研抗体货号: P30999别名: Nuclear pore complex protein Nup107, 107 kDa nucleoporin, Nucleoporin Nup107, NUP107应用: WB,IHC反应种属: Mouse
-
分类: 科研抗体货号: P31013别名: Olfactory receptor 2AT4, Olfactory receptor OR11-265, OR2AT4应用: WB反应种属: Human
-
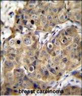
分类: 科研抗体货号: P30998别名: Pleckstrin homology domain-containing family A member 4, PH domain-containing family A member 4, Phosphoinositol 3-phosphate-binding protein 1, PEPP-1, PLEKHA4, PEPP1应用: WB,IHC,FCM反应种属: Human
鄂公网安备42018502007531号

