-
分类: 科研抗体货号: P30892别名: Frizzled-6, Fz-6, hFz6, FZD6应用: WB反应种属: Human
-
分类: 科研抗体货号: P30877别名: 60S ribosomal protein L27a, RPL27A应用: WB,IHC,FCM反应种属: Human, Hamster
-
分类: 科研抗体货号: P30891别名: F-box only protein 24, FBXO24, FBX24应用: WB,IHC,FCM反应种属: Human, Mouse
-
分类: 科研抗体货号: P30876别名: NTPase KAP family P-loop domain-containing protein 1, NKPD1应用: WB,FCM反应种属: Human, Mouse
-
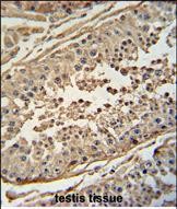
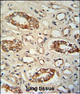
分类: 科研抗体货号: P30890别名: Arf-GAP with SH3 domain, ANK repeat and PH domain-containing protein 3, Development and differentiation-enhancing factor-like 1, Protein up-regulated in liver cancer 1, ASAP3, DDEFL1, UPLC1应用: WB,IHC反应种属: Human, Hamster
-
分类: 科研抗体货号: P30875别名: Zinc finger protein 674, ZNF674应用: WB反应种属: Human
-
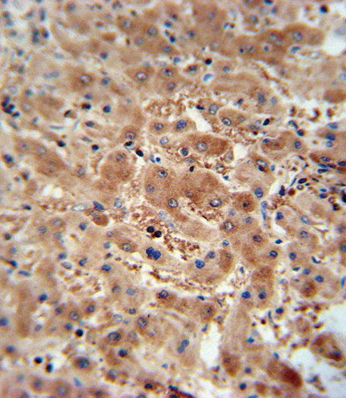
分类: 科研抗体货号: P30889别名: Protein phosphatase 1L, Protein phosphatase 1-like, Protein phosphatase 2C isoform epsilon, PP2C-epsilon, PPM1L, PP2CE应用: WB,IHC反应种属: Human, Mouse
-
分类: 科研抗体货号: P30898别名: tRNA-dihydrouridine(20a/20b) synthase [NAD(P)+]-like, 131-, pp35, tRNA-dihydrouridine synthase 4-like, DUS4L应用: WB反应种属: Human, Mouse
-
分类: 科研抗体货号: P30888别名: Embryonic stem cell-specific 5-hydroxymethylcytosine-binding protein, ES cell-specific 5hmC-binding protein, Putative peptidase SRAPD1, 34--, SRAP domain-containing protein 1, HMCES, C3orf37, DC12, SRAPD1应用: WB反应种属: Human
-
分类: 科研抗体货号: P30897别名: Leucine-rich repeat-containing protein 40, LRRC40应用: WB,IHC,FCM反应种属: Human
鄂公网安备42018502007531号

