-
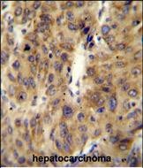
分类: 科研抗体货号: P30826别名: APOBEC1 complementation factor, APOBEC1-stimulating protein, A1CF, ACF, ASP {ECO:0000312|EMBL:CAB947541}应用: WB,IHC,FCM反应种属: Human
-
分类: 科研抗体货号: P30811别名: Doublesex- and mab-3-related transcription factor C1, DMRTC1应用: WB反应种属: Human
-
分类: 科研抗体货号: P30816别名: Transmembrane gamma-carboxyglutamic acid protein 3, Proline-rich gamma-carboxyglutamic acid protein 3, Proline-rich Gla protein 3, PRRG3, PRGP3, TMG3应用: WB,FCM反应种属: Human, Mouse
-
分类: 科研抗体货号: P30825别名: Fanconi anemia group J protein, Protein FACJ, ATP-dependent RNA helicase BRIP1, BRCA1-associated C-terminal helicase 1, BRCA1-interacting protein C-terminal helicase 1, BRCA1-interacting protein 1, BRIP1, BACH1, FANCJ应用: WB反应种属: Human, Mouse
-
分类: 科研抗体货号: P30810别名: Zinc finger protein 763, ZNF763应用: WB反应种属: Human
-
分类: 科研抗体货号: P30815别名: Immunoglobulin superfamily member 5, IgSF5, Junctional adhesion molecule 4, JAM-4, IGSF5, JAM4应用: WB反应种属: Human
-
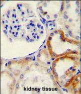
分类: 科研抗体货号: P30809别名: Nucleoside diphosphate-linked moiety X motif 8, mitochondrial, Nudix motif 8, 361-, NUDT8应用: WB,IHC,FCM反应种属: Human
-
分类: 科研抗体货号: P30824别名: Complement C2, C3/C5 convertase, Complement C2b fragment, Complement C2a fragment, C2应用: WB反应种属: Human, Hamster
-
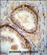
分类: 科研抗体货号: P30838别名: Hyaluronidase-2, Hyal-2, Hyaluronoglucosaminidase-2, Lung carcinoma protein 2, LuCa-2, HYAL2, LUCA2应用: WB,IHC,FCM反应种属: Human
-
分类: 科研抗体货号: P30836别名: Core histone macro-H2A2, Histone macroH2A2, mH2A2, H2AFY2, MACROH2A2应用: WB,FCM反应种属: Human, Mouse
鄂公网安备42018502007531号

