-
分类: 科研抗体货号: P30767别名: Tetraspan membrane protein of hair cell stereocilia, Lipoma HMGIC fusion partner-like 5 protein, LHFPL5, TMHS应用: WB反应种属: Human, Mouse
-
分类: 科研抗体货号: P30788别名: Paired box protein Pax-1, HuP48, PAX1, HUP48应用: WB,FCM反应种属: Human
-
分类: 科研抗体货号: P30766别名: Synaptonemal complex central element protein 2, Central element synaptonemal complex protein 1, SYCE2, CESC1应用: WB,FCM反应种属: Human
-
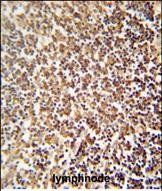
分类: 科研抗体货号: P30779别名: Kinesin-like protein KIF9, KIF9应用: WB,IHC反应种属: Human, Mouse
-
分类: 科研抗体货号: P30787别名: Alpha-endosulfine, ARPP-19e, ENSA应用: WB,FCM反应种属: Human, Mouse
-
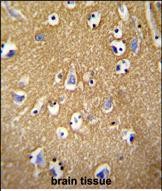
分类: 科研抗体货号: P30778别名: Brevican core protein, Brain-enriched hyaluronan-binding protein, BEHAB, Chondroitin sulfate proteoglycan 7, BCAN, BEHAB, CSPG7应用: WB,IHC,FCM反应种属: Human
-
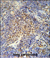
分类: 科研抗体货号: P30786别名: Proto-oncogene tyrosine-protein kinase receptor Ret, Cadherin family member 12, Proto-oncogene c-Ret, Soluble RET kinase fragment, Extracellular cell-membrane anchored RET cadherin 120 kDa fragment, RET, CDHF12, CDHR16, PTC, RET51应用: WB,IHC,IF反应种属: Human
-
分类: 科研抗体货号: P30802别名: Zinc finger protein 98, Zinc finger protein 739, Zinc finger protein F7175, ZNF98, ZNF739应用: WB,IHC,FCM反应种属: Human
-
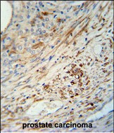
分类: 科研抗体货号: P30785别名: OTU domain-containing protein 4, HIV-1-induced protein HIN-1, OTUD4, HIN1, KIAA1046应用: WB,IHC反应种属: Human
-
分类: 科研抗体货号: P30801别名: NADH dehydrogenase [ubiquinone] 1 alpha subcomplex subunit 11, Complex I-B147, CI-B147, NADH-ubiquinone oxidoreductase subunit B147, NDUFA11应用: WB,IHC反应种属: Human
鄂公网安备42018502007531号

