-
分类: 科研抗体货号: P30718别名: Rhotekin-2, Pleckstrin homology domain-containing family K member 1, PH domain-containing family K member 1, RTKN2, PLEKHK1应用: WB,FCM反应种属: Human, Mouse
-
分类: 科研抗体货号: P30705别名: Putative Dol-P-Glc:Glc(2)Man(9)GlcNAc(2)-PP-Dol alpha-1,2-glucosyltransferase, Alpha-1,2-glucosyltransferase ALG10-A, Alpha-2-glucosyltransferase ALG10-B, Asparagine-linked glycosylation protein 10 homolog B, Potassium channel regulator 1, ALG10B, KCR1应用: WB反应种属: Human
-
分类: 科研抗体货号: P30732别名: Glycerol-3-phosphate acyltransferase 1, mitochondrial, GPAT-1, GPAM, GPAT1, KIAA1560应用: WB,FCM反应种属: Human
-
分类: 科研抗体货号: P30717别名: Protein NDNF, Neuron-derived neurotrophic factor, NDNF, C4orf31应用: WB,IHC,FCM反应种属: Human
-
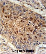
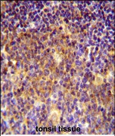
分类: 科研抗体货号: P30731别名: Biogenesis of lysosome-related organelles complex 1 subunit 5, BLOC-1 subunit 5, Protein Muted homolog, BLOC1S5, MUTED应用: WB,IHC反应种属: Human, Mouse
-
分类: 科研抗体货号: P30740别名: Repressor of RNA polymerase III transcription MAF1 homolog, MAF1应用: WB,IHC,FCM反应种属: Human, Mouse
-
分类: 科研抗体货号: P30730别名: Adipocyte enhancer-binding protein 1, AE-binding protein 1, Aortic carboxypeptidase-like protein, AEBP1, ACLP应用: WB反应种属: Human
-
分类: 科研抗体货号: P30739别名: GRIP and coiled-coil domain-containing protein 2, 185 kDa Golgi coiled-coil protein, GCC185, CLL-associated antigen KW-11, CTCL tumor antigen se1-1, Ran-binding protein 2-like 4, RanBP2L4, Renal carcinoma antigen NY-REN-53, GCC2, KIAA0336, RANBP2L4应用: WB,IHC反应种属: Human, Mouse
-
分类: 科研抗体货号: P30729别名: A-kinase-interacting protein 1, Breast cancer-associated gene 3 protein, PKA-interacting protein, Proline-rich protein BCA3, AKIP1, BCA3, C11orf17应用: WB反应种属: Human, Mouse ,Hamster
-
分类: 科研抗体货号: P30738别名: Polypeptide N-acetylgalactosaminyltransferase 4, Polypeptide GalNAc transferase 4, GalNAc-T4, pp-GaNTase 4, Protein-UDP acetylgalactosaminyltransferase 4, UDP-GalNAc:polypeptide N-acetylgalactosaminyltransferase 4, GALNT4应用: WB,FCM反应种属: Human
鄂公网安备42018502007531号

