-
分类: 科研抗体货号: P30608别名: DNA-directed RNA polymerase III subunit RPC8, RNA polymerase III subunit C8, DNA-directed RNA polymerase III subunit H, RNA polymerase III subunit 229 kDa subunit, RPC229, POLR3H, KIAA1665, RPC8应用: WB,FCM反应种属: Human, Mouse
-
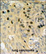
分类: 科研抗体货号: P30617别名: Very-long-chain (3R)-3-hydroxyacyl-CoA dehydratase 2, 3-hydroxyacyl-CoA dehydratase 2, HACD2, Protein-tyrosine phosphatase-like member B, PTPLB, HACD2应用: WB,IHC,FCM反应种属: Human
-
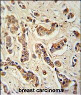
分类: 科研抗体货号: P30601别名: Mothers against decapentaplegic homolog 3, MAD homolog 3, Mad3, Mothers against DPP homolog 3, hMAD-3, JV15-2, SMAD family member 3, SMAD 3, Smad3, hSMAD3, SMAD3, MADH3应用: WB,IHC,IF,FCM反应种属: Human, Mouse, Rat
-
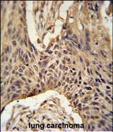
分类: 科研抗体货号: P30607别名: Centromere protein S, CENP-S, Apoptosis-inducing TAF9-like domain-containing protein 1, FANCM-interacting histone fold protein 1, Fanconi anemia-associated polypeptide of 16 kDa, APITD1, CENPS, FAAP16, MHF1应用: WB,IHC,FCM反应种属: Human, Mouse
-
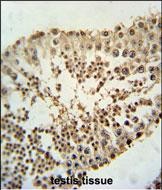
分类: 科研抗体货号: P30616别名: Lipid phosphate phosphatase-related protein type 4, Brain-specific phosphatidic acid phosphatase-like protein 1, Plasticity-related gene 1 protein, PRG-1, LPPR4, KIAA0455, PRG1应用: WB,IHC,FCM反应种属: Human
-
分类: 科研抗体货号: P30600别名: Phostensin, Protein phosphatase 1 F-actin cytoskeleton-targeting subunit, Protein phosphatase 1 regulatory subunit 18, PPP1R18, HKMT1098, KIAA1949应用: WB,IHC,FCM反应种属: Human
-
分类: 科研抗体货号: P30630别名: SWI/SNF complex subunit SMARCC1, BRG1-associated factor 155, BAF155, SWI/SNF complex 155 kDa subunit, SWI/SNF-related matrix-associated actin-dependent regulator of chromatin subfamily C member 1, SMARCC1, BAF155应用: WB,IHC,FCM反应种属: Human
-
分类: 科研抗体货号: P30615别名: Protein FAM20A, FAM20A应用: WB,IHC,FCM反应种属: Human
-
分类: 科研抗体货号: P30599别名: Mitochondrial inner membrane protease subunit 2, 3421-, IMP2-like protein, IMMP2L应用: WB,IHC,FCM反应种属: Human
-
分类: 科研抗体货号: P30629别名: Beta-citrylglutamate synthase B, N-acetyl-aspartylglutamate synthetase B, NAAG synthetase B, NAAGS, Ribosomal protein S6 modification-like protein B, RIMKLB, FAM80B, KIAA1238应用: WB,IHC,FCM反应种属: Human, Mouse
鄂公网安备42018502007531号

