-
分类: 科研抗体货号: P30587别名: Arylsulfatase I, ASI, 316-, ARSI应用: WB,FCM反应种属: Human
-
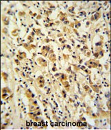
分类: 科研抗体货号: P30572别名: Thioredoxin domain-containing protein 12, Endoplasmic reticulum resident protein 18, ER protein 18, ERp18, Endoplasmic reticulum resident protein 19, ER protein 19, ERp19, Thioredoxin-like protein p19, hTLP19, TXNDC12, TLP19应用: WB,IHC反应种属: Human, Mouse, Rat
-
分类: 科研抗体货号: P30586别名: Non-structural maintenance of chromosomes element 4 homolog A, NS4EA, Non-SMC element 4 homolog A, NSMCE4A, C10orf86应用: WB反应种属: Human
-
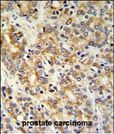
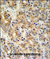
分类: 科研抗体货号: P30571别名: Mitotic interactor and substrate of PLK1, Mitotic spindle positioning protein, MISP, C19orf21应用: WB,IHC,FCM反应种属: Human
-
分类: 科研抗体货号: P30585别名: Phosphatase and actin regulator 4, PHACTR4应用: WB反应种属: Human
-
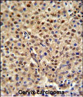
分类: 科研抗体货号: P30570别名: N-lysine methyltransferase SETD6, 211-, SET domain-containing protein 6, SETD6应用: WB,IHC反应种属: Human
-
分类: 科研抗体货号: P30584别名: TBC1 domain family member 7, Cell migration-inducing protein 23, TBC1D7, TBC7应用: WB反应种属: Human
-
分类: 科研抗体货号: P30593别名: Probable ATP-dependent RNA helicase DDX49, DEAD box protein 49, DDX49应用: WB,IHC,FCM反应种属: Human
-
分类: 科研抗体货号: P30583别名: U3 small nucleolar ribonucleoprotein protein IMP3, U3 snoRNP protein IMP3, BRMS2, IMP3, C15orf12, MRPS4应用: WB,IHC,FCM反应种属: Human, Mouse
-
分类: 科研抗体货号: P30592别名: Nuclear pore membrane glycoprotein 210, Nuclear pore protein gp210, Nuclear envelope pore membrane protein POM 210, POM210, Nucleoporin Nup210, Pore membrane protein of 210 kDa, NUP210, KIAA0906应用: WB,IHC,FCM反应种属: Human, Mouse, Rat
鄂公网安备42018502007531号

