-
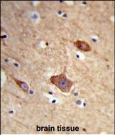
分类: 科研抗体货号: P30511别名: Neurexophilin-1, NXPH1, NPH1应用: WB,IHC,FCM反应种属: Human, Mouse
-
分类: 科研抗体货号: P30495别名: Adenylate cyclase type 7, ATP pyrophosphate-lyase 7, Adenylate cyclase type VII, Adenylyl cyclase 7, ADCY7, KIAA0037应用: WB,IHC,FCM反应种属: Human
-
分类: 科研抗体货号: P30505别名: Eukaryotic translation initiation factor 2A, eIF-2A, 65 kDa eukaryotic translation initiation factor 2A, Eukaryotic translation initiation factor 2A, N-terminally processed, EIF2A应用: WB,IHC,FCM反应种属: Human
-
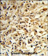
分类: 科研抗体货号: P30510别名: Methionine adenosyltransferase 2 subunit beta, Methionine adenosyltransferase II beta, MAT II beta, Putative dTDP-4-keto-6-deoxy-D-glucose 4-reductase, MAT2B, TGR应用: WB,IHC反应种属: Human
-
分类: 科研抗体货号: P30504别名: 4-alpha-glucan-branching enzyme, Brancher enzyme, Glycogen-branching enzyme, GBE1应用: WB,IF反应种属: Human, Mouse
-
分类: 科研抗体货号: P30494别名: 1-phosphatidylinositol 4,5-bisphosphate phosphodiesterase beta-1, PLC-154, Phosphoinositide phospholipase C-beta-1, Phospholipase C-I, PLC-I, Phospholipase C-beta-1, PLC-beta-1, PLCB1, KIAA0581应用: WB,FCM反应种属: Human
-
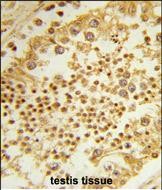
分类: 科研抗体货号: P30509别名: 60S ribosomal protein L31, RPL31应用: WB,IHC,FCM反应种属: Human
-
分类: 科研抗体货号: P30503别名: RNA polymerase II elongation factor ELL, Eleven-nineteen lysine-rich leukemia protein, ELL, C19orf17应用: WB反应种属: Human, Mouse
-
分类: 科研抗体货号: P30493别名: Polypeptide N-acetylgalactosaminyltransferase 2, Polypeptide GalNAc transferase 2, GalNAc-T2, pp-GaNTase 2, Protein-UDP acetylgalactosaminyltransferase 2, UDP-GalNAc:polypeptide N-acetylgalactosaminyltransferase 2, Polypeptide N-acetylgalactosaminyltransf应用: WB,IHC,FCM反应种属: Human, Mouse, Rat
-
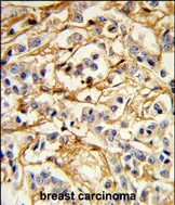
分类: 科研抗体货号: P30508别名: Leucine-rich repeat-containing protein 4, Brain tumor-associated protein BAG, Nasopharyngeal carcinoma-associated gene 14 protein, Netrin-G2 ligand, NGL-2, LRRC4, BAG应用: WB,IHC反应种属: Human
鄂公网安备42018502007531号

