-
分类: 科研抗体货号: P30413别名: Peptidyl-prolyl cis-trans isomerase FKBP11, PPIase FKBP11, 19 kDa FK506-binding protein, 19 kDa FKBP, FKBP-19, FK506-binding protein 11, FKBP-11, Rotamase, FKBP11, FKBP19应用: WB,IHC,FCM反应种属: Human, Mouse
-
分类: 科研抗体货号: P30393别名: T-complex protein 1 subunit gamma, TCP-1-gamma, CCT-gamma, hTRiC5, CCT3, CCTG, TRIC5应用: WB,IHC,FCM反应种属: Human
-
分类: 科研抗体货号: P30378别名: Inactive carboxypeptidase-like protein X2, CPXM2应用: WB反应种属: Human
-
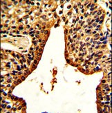
分类: 科研抗体货号: P30412别名: Insulin-like growth factor-binding protein 6, IBP-6, IGF-binding protein 6, IGFBP-6, IGFBP6, IBP6应用: WB,IHC,FCM反应种属: Human
-
分类: 科研抗体货号: P30392别名: F-actin-capping protein subunit beta, CapZ beta, CAPZB应用: WB反应种属: Human
-
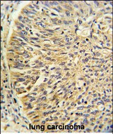
分类: 科研抗体货号: P30377别名: VIP peptides, Intestinal peptide PHV-42, Peptide histidine valine 42, Intestinal peptide PHM-27, Peptide histidine methioninamide 27, Vasoactive intestinal peptide, VIP, Vasoactive intestinal polypeptide, VIP应用: WB,IHC,FCM反应种属: Human
-
分类: 科研抗体货号: P30408别名: 6-phosphogluconolactonase, 6PGL, PGLS应用: WB,IHC,FCM反应种属: Human
-
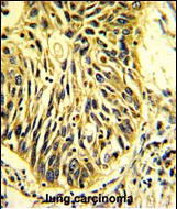
分类: 科研抗体货号: P30391别名: Endothelial protein C receptor, Activated protein C receptor, APC receptor, Endothelial cell protein C receptor, CD201, PROCR, EPCR应用: WB,IHC,FCM反应种属: Human
-
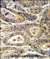
分类: 科研抗体货号: P30376别名: APC membrane recruitment protein 1, Amer1, Protein FAM123B, Wilms tumor gene on the X chromosome protein, AMER1, FAM123B, WTX应用: WB,IHC,FCM反应种属: Human, Mouse
-
分类: 科研抗体货号: P30407别名: Glutathione S-transferase P, GST class-pi, GSTP1-1, GSTP1, FAEES3, GST3应用: WB,IF,FCM反应种属: Human, Rat
鄂公网安备42018502007531号

