-
分类: 科研抗体货号: P30235别名: Zinc finger protein 219, ZNF219应用: WB反应种属: Human
-
分类: 科研抗体货号: P30268别名: Adenosylhomocysteinase, AdoHcyase, S-adenosyl-L-homocysteine hydrolase, AHCY, SAHH应用: WB,IHC反应种属: Human
-
分类: 科研抗体货号: P30255别名: Thymidine phosphorylase, TP, Gliostatin, Platelet-derived endothelial cell growth factor, PD-ECGF, TdRPase, TYMP, ECGF1应用: WB,IHC反应种属: Human
-
分类: 科研抗体货号: P30267别名: Growth/differentiation factor 3, GDF-3, GDF3应用: WB,IHC反应种属: Human
-
分类: 科研抗体货号: P30276别名: Prohibitin-2, B-cell receptor-associated protein BAP37, D-prohibitin, Repressor of estrogen receptor activity, PHB2 {ECO:0000312|EMBL:AAH147661, ECO:0000312|HGNC:HGNC:30306}应用: WB反应种属: Human
-
分类: 科研抗体货号: P30254别名: Prominin-1, Antigen AC133, Prominin-like protein 1, CD133, PROM1, PROML1应用: WB反应种属: Human
-
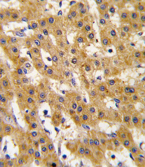
分类: 科研抗体货号: P30266别名: Pyruvate dehydrogenase protein X component, mitochondrial, Dihydrolipoamide dehydrogenase-binding protein of pyruvate dehydrogenase complex, E3-binding protein, E3BP, Lipoyl-containing pyruvate dehydrogenase complex component X, proX, PDHX, PDX1应用: WB,IHC,FCM反应种属: Human, Mouse, Rat
-
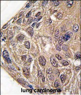
分类: 科研抗体货号: P30273别名: Tyrosine--tRNA ligase, cytoplasmic, Tyrosyl-tRNA synthetase, TyrRS, Tyrosine--tRNA ligase, cytoplasmic, N-terminally processed, YARS应用: WB,IHC反应种属: Human
-
分类: 科研抗体货号: P30285别名: Glial fibrillary acidic protein, GFAP, GFAP应用: WB反应种属: Human
-
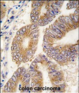
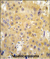
分类: 科研抗体货号: P30265别名: DNA (cytosine-5)-methyltransferase 3A, Dnmt3a, DNA methyltransferase HsaIIIA, DNA MTase HsaIIIA, MHsaIIIA, DNMT3A应用: WB,IHC反应种属: Human
鄂公网安备42018502007531号

